Wichtiger Sicherheitshinweis: Pathorama wurde zwischen dem 26. und 27. Dezember 2025 angegriffen. Falls Sie die Website in diesem Zeitraum besucht haben, lesen Sie bitte die wichtigen Informationen hier:
Zur Information

Basel 3BA HS/ Extranodales Marginalzonen B-Zell Lymphom

Diagnose
Extranodales Marginalzonen B-Zell Lymphom
Diagnose Gruppe
maligner Tumor
Topographie Gruppe
Oesophagus, Magen
Topographie
Magenantrum
Einleitung
Histogenese:
Die extranodalen Marginalzonen B-Zell Lymphome leiten sich von den Marginalzonen der Sekundärfollikel ab. Am häufigsten kommen sie im Magen vor, wurden aber schon in fast allen Körperregionen (> 1003) beschrieben.

Morphologie:
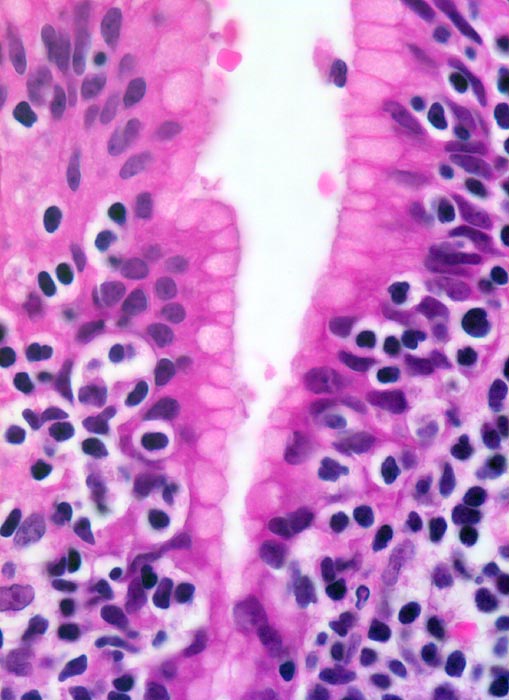
Histologisch finden sich meist nicht neoplastische Lymphfollikel. Die kleinen bis mittelgrossen an Zentrozyten (> 3334), Monozyten (> 3335) oder Lymphozyten (> 3336) erinnernden Tumorzellen infiltrieren die Marginalzone (> 3920) der reaktiven Follikel. Die Mantelzone ist meist erhalten. Meist sind vereinzelte an Zentroblasten oder Immunoblasten erinnernde Zellen (> 3332) beigemischt. Typisch für Marginalzonenlymphome ist die Infiltration der ortsständigen Epithelien in Form von lymphoepithelialen Läsionen (> 1010) (> 3333).

Diagnostik:
Wegen ihrer variablen zytologischen Differenzierung und fehlender typischer immunhistochemischer Marker ist die Abgrenzung von anderen kleinzelligen Lymphomen (Mantelzelllymphom, follikuläres Lymphom, B-CLL, Immunozytom, Plasmozytom) zuweilen schwierig. Immunhistochemische Untersuchungen dienen vor allem dem Ausschluss anderer kleinzelliger Lymphome. An kleinen Biopsien (> 3328) kann auch die Unterscheidung einer schweren chronischen Entzündung von einem neoplastischen Infiltrat Schwierigkeiten bereiten.

Update 1.10.2012
Klinik
Vorkommen:
Das MALT Lymphom macht 7-8% aller B-Zell Lymphome und 50% aller primären Magenlymphome aus. Bevorzugt treten sie im mittleren bis späteren Erwachsenenalter auf mit einem medianen Alter von 61 Jahren.

Verlauf:
Typischerweise geht der Erkrankung eine chronische Entzündung oder Autoimmunerkrankung voraus (Helikobaktergastritis (> 1305), Sjögren Syndrom, Hashimoto Thyreoiditis (> 3786)). Bei Diagnosestellung liegt meist ein Stadium IE (Organmanifestation ohne Lymphknotenbeteiligung) oder IIE (mit Beteiligung regionärer Lymphknoten) vor. Meist ist die Erkrankung über lange Zeit lokalisiert und kann im Magen durch Eradikation von Helikobakter pylori geheilt werden, sofern die neoplastischen Zellen in ihrem Wachstum noch von der Anwesenheit des Helikobakter Antigens abhängig sind. Extranodale MALT Lymphome des Magens können sekundär in ein diffuses grosszelliges B-Zell Lymphom (> 3331) mit aggressiverem Verlauf transformieren. Die meisten MALT Lymphome nehmen jedoch einen indolenten Verlauf und disseminieren spät.
Normalbefund
Morphologie
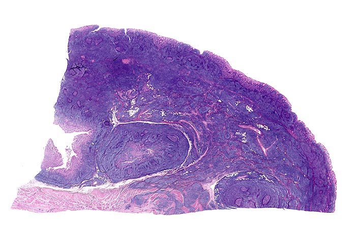
Morphologische Merkmale:
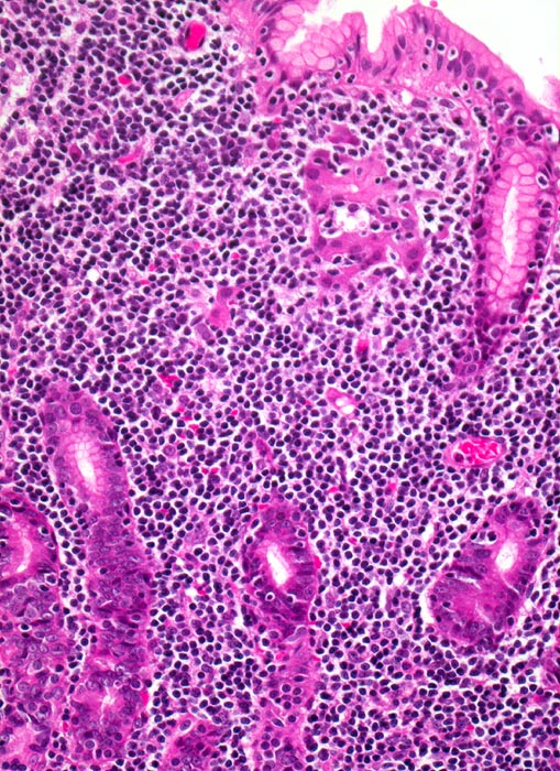
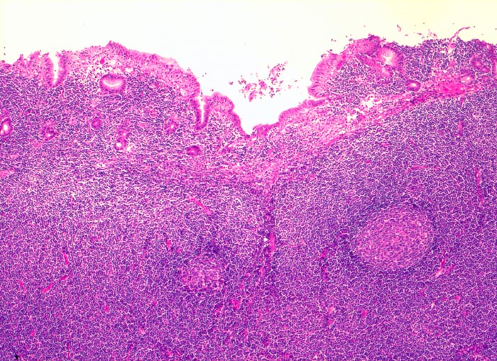
  • Diffuses blaues, kleinzelliges Lymphominfiltrat in Mukosa, Submukosa und Magenwandmuskulatur.
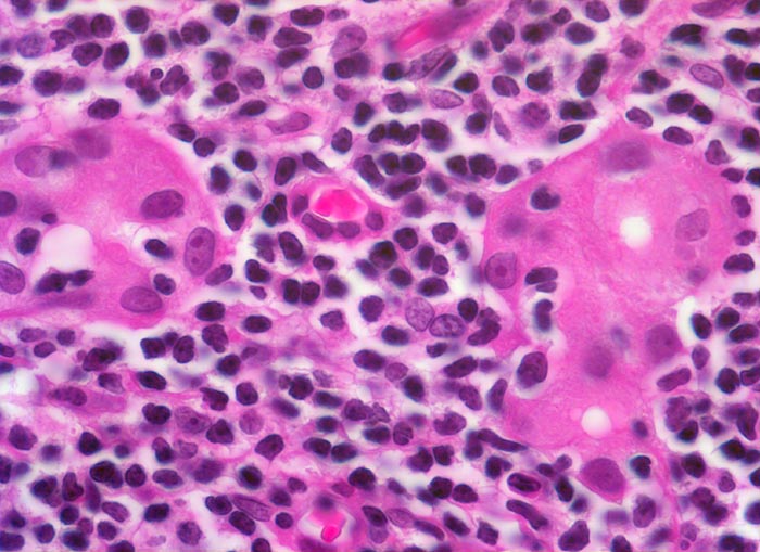
  • Reaktive Lymphfollikel innerhalb des Lymphominfiltrates mit Kerntrümmermakrophagen in den Keimzentren.
  • Ausbreitung der Tumorzellen in der Marginalzone um und zwischen reaktiven Sekundärfollikeln.
  • Kleine monozytoide Tumorzellen mit angulären oder ovalen kleinen Kernen und einem schmalen hellen Zytoplasmasaum.
  • Infiltration und Destruktion von Magenkorpusdrüsen durch Tumorzellen (lymphoepitheliale Läsionen).
Das sollte der Kliniker dem Pathologen mitteilen:
  • Endoskopischer Befund.
  • Lymphomverdacht.
  • Stagingbefunde.
  • Assoziierte Autoimmunerkrankungen.
Praxis-Tipp:
  • Material möglichst rasch und unfixiert einsenden.
Makroskopie
Befund
Pathologischer Befund
Normalbefund
Datum
Ersteintrag: 04.11.2018
Update: 04.11.2018