Wichtiger Sicherheitshinweis:
Pathorama wurde zwischen dem
26. und 27. Dezember 2025
angegriffen. Falls Sie die Website in diesem Zeitraum besucht haben, lesen Sie bitte die wichtigen Informationen hier:
Zur Information
Pathopic
HiPaKu
ZyPaKu
Projektinfos
PathoPic - Projekt- und Copyright-Info
About
Pathopic
HiPaKu
ZyPaKu
PathoPic – image database
/
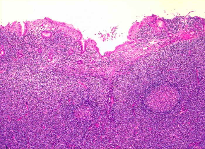
PathoPic ID 3424 - extranodales Marginalzonenlymphom vom MALT-Typ
de
Diagnose
extranodales Marginalzonenlymphom vom MALT-Typ
Diagnose Gruppe
maligner Tumor
Topographie
Magenantrum
Topographie Gruppe
Oesophagus, Magen
Beschreibung
Ausbreitung der Tumorzellen in der Marginalzone um und zwischen
reaktiven Sekundärfollikeln. Infiltration von Mukosa und Submukosa.
Zusatzbefund
-
Klinik
73 jährige Patientin mit chronischer Helikobakter-Gastritis. Magenbefall ohne Lymphknotenbefall.
Kommentar
Oft multifokales Tumorwachstum (Gefahr der falsch negativen Diagnose wegen Trefferfehler bei Biopsie).
Bilder Typ
Histologie
Vergrösserung
50
Alter
73
Geschlecht
unbekannt
Datum
Ersteintrag: 17.12.2001
CPS
·
©
2025 Institut für Pathologie Basel
/
Dr. med. Katharina Glatz-Krieger
.
·
v2.2