Wichtiger Sicherheitshinweis:
Pathorama wurde zwischen dem
26. und 27. Dezember 2025
angegriffen. Falls Sie die Website in diesem Zeitraum besucht haben, lesen Sie bitte die wichtigen Informationen hier:
Zur Information
Pathopic
HiPaKu
ZyPaKu
Projektinfos
PathoPic - Projekt- und Copyright-Info
About
Pathopic
HiPaKu
ZyPaKu
PathoPic – image database
/
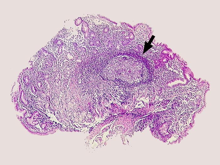
PathoPic ID 1305 - Schwere chronische Helicobactergastritis mit follikulärer Entzündung
de
Diagnose
Schwere chronische Helicobactergastritis mit follikulärer Entzündung
Diagnose Gruppe
Entzündung infektiös
Topographie
Magenantrum
Topographie Gruppe
Oesophagus, Magen
Beschreibung
Dichtes Entzündungsinfiltrat im Stroma.
►
Lymphfollikel mit Keimzentrum.
Zusatzbefund
Helicobacter.
Kommentar
Lymphfollikel kommen charakteristischerweise bei der Helicobactergastritis vor.
Bilder Typ
Histologie
Geschlecht
weiblich
Datum
Ersteintrag: 05.12.2001
CPS
·
©
2025 Institut für Pathologie Basel
/
Dr. med. Katharina Glatz-Krieger
.
·
v2.2