Wichtiger Sicherheitshinweis: Pathorama wurde zwischen dem 26. und 27. Dezember 2025 angegriffen. Falls Sie die Website in diesem Zeitraum besucht haben, lesen Sie bitte die wichtigen Informationen hier:
Zur Information

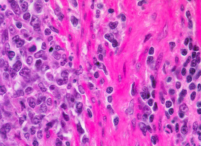
PathoPic – image database / PathoPic ID 3331 - extranodales Marginalzonenlymphom vom MALT-Typ mit Transformation

de
Diagnose
extranodales Marginalzonenlymphom vom MALT-Typ mit Transformation
Diagnose Gruppe
maligner Tumor
Topographie
Magenantrum
Topographie Gruppe
Oesophagus, Magen
Beschreibung
Rechts im Bild das kleinzellige Infiltrat des MALT Lymphoms. Links im Bild ein Blastenrasen.
Kommentar
Extranodale MALT Lymphome des Magens können sekundär transformieren in ein diffuses grosszelliges B-Zell Lymphom. Dieses ist definiert als mehr als 10% Blasten, bzw. Anwesenheit eines Clusters von mehr als 20 Blasten oder Blastenrasen neben kleinzelliger MALT Lymphom Komponente.
Bilder Typ
Histologie
Alter
67
Geschlecht
männlich
Datum
Ersteintrag: 12.11.2001