Wichtiger Sicherheitshinweis: Pathorama wurde zwischen dem 26. und 27. Dezember 2025 angegriffen. Falls Sie die Website in diesem Zeitraum besucht haben, lesen Sie bitte die wichtigen Informationen hier:
Zur Information

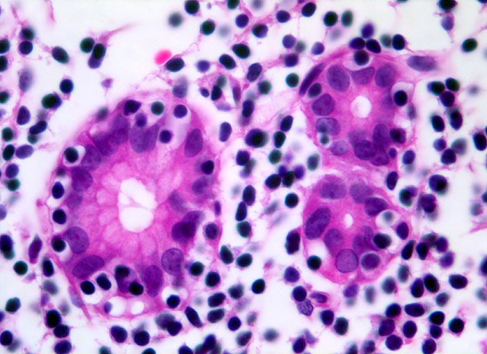
PathoPic – image database / PathoPic ID 3333 - MALT Lymphom: lymphoepitheliale Läsion

de
Diagnose
MALT Lymphom: lymphoepitheliale Läsion
Diagnose Gruppe
maligner Tumor
Topographie
Magen
Topographie Gruppe
Oesophagus, Magen
Beschreibung
Das kleinzellige neoplastische Infiltrat greift auf das Epithel der Magendrüsen über.
Kommentar
Eine lymphoepitheliale Läsion ist definiert als mindestens 3 neoplastische Marginalzonenzellen innerhalb des Drüsenepithels begleitet von einer Destruktion des Epithels. Lymphoepitheliale Läsionen sind typisch für MALT Lymphome, sind aber nicht immer nachweisbar.
Bilder Typ
Histologie
Vergrösserung
630
Alter
68
Geschlecht
männlich
Datum
Ersteintrag: 12.11.2001