Wichtiger Sicherheitshinweis: Pathorama wurde zwischen dem 26. und 27. Dezember 2025 angegriffen. Falls Sie die Website in diesem Zeitraum besucht haben, lesen Sie bitte die wichtigen Informationen hier:
Zur Information

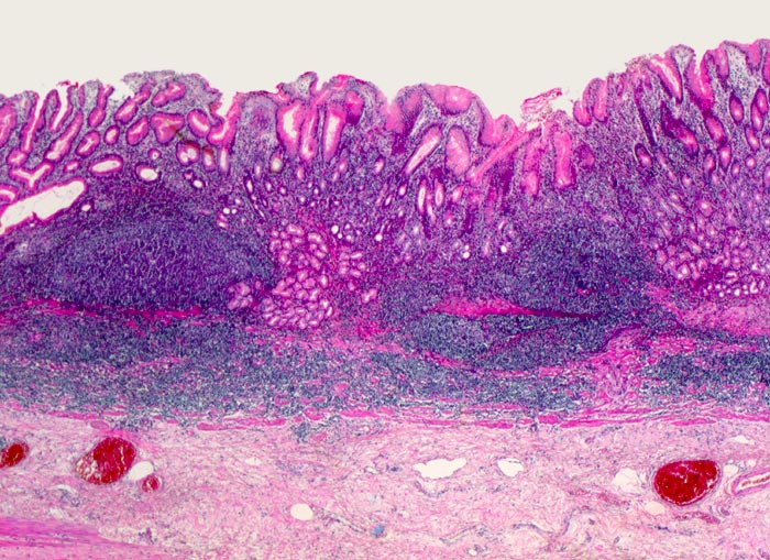
PathoPic – image database / PathoPic ID 3328 - extranodales Marginalzonenlymphom vom MALT-Typ

de
Diagnose
extranodales Marginalzonenlymphom vom MALT-Typ
Diagnose Gruppe
maligner Tumor
Topographie
Magenantrum
Topographie Gruppe
Oesophagus, Magen
Beschreibung
Die Antrumschleimhaut zeigt eine chronische Gastritis mit verdichtetem Entzündungsinfiltrat in der Lamina propria. Zusätzlich findet sich vor allem in der Submucosa ein dichtes monotones neoplastisches Infiltrat kleiner lymphoider Zellen.
Kommentar
Das Bild stammt von einem Magenresektat. Man kann sich gut vorstellen, dass eine oberflächliche Magenbiopsie das neoplastische Infiltrat möglicherweise nur am Rande oder gar nicht erfasst hätte und so zu einem falsch negativen Befund hätte führen können.
Bilder Typ
Histologie
Alter
60
Geschlecht
unbekannt
Datum
Ersteintrag: 12.11.2001