Wichtiger Sicherheitshinweis: Pathorama wurde zwischen dem 26. und 27. Dezember 2025 angegriffen. Falls Sie die Website in diesem Zeitraum besucht haben, lesen Sie bitte die wichtigen Informationen hier:
Zur Information

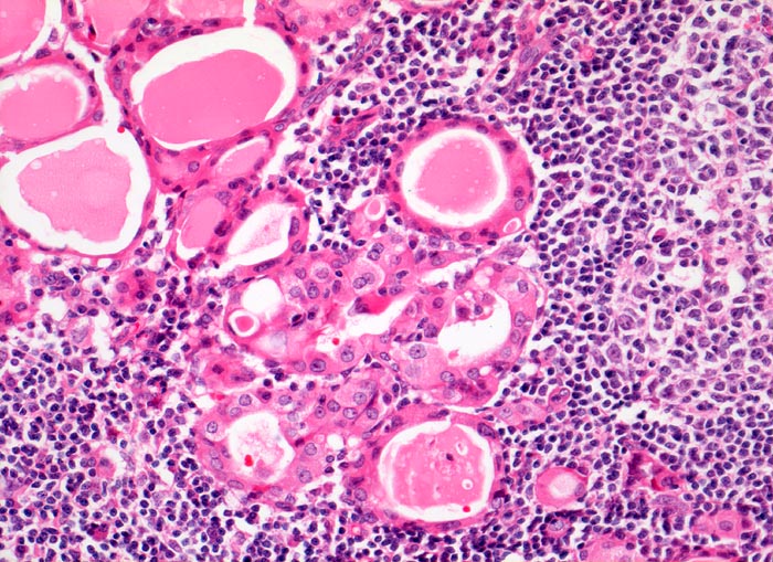
PathoPic – image database / PathoPic ID 3786 - Hashimoto Thyreoiditis

de
Diagnose
Hashimoto Thyreoiditis
Diagnose Gruppe
Systemerkrankung/Immunpathologie
Topographie
Schilddrüse
Topographie Gruppe
Endokrinium
Beschreibung
Rechts im Bild das Keimzentrum eines Lymphfollikels. Die Schilddrüsenfollikel im Bildzentrum sind umgeben von einem lymphozytären Entzündungsinfiltrat. Das Follikelepithel zeigt eine oxyphile Degeneration des Zytoplasmas.
Zusatzbefund
knotige Schilddrüse mit gescheckter Schnittfläche und herdförmigen Einblutungen.
Klinik
Szintigraphisch kalter Knoten
Kommentar
Die Grenzen zwischen fokaler Thyeroiditis und Hashimoto Thyeroiditis sind fliessend. Ein ausgeprägtes, flächenhaftes Entzündungsinfiltrat mit eosinophilzelliger Degeneration des Epithels erlaubt die Diagnose einer Hashimoto Thyreoiditis.
Bilder Typ
Histologie
Vergrösserung
200
Alter
66
Geschlecht
unbekannt
Datum
Ersteintrag: 31.12.2001