Wichtiger Sicherheitshinweis: Pathorama wurde zwischen dem 26. und 27. Dezember 2025 angegriffen. Falls Sie die Website in diesem Zeitraum besucht haben, lesen Sie bitte die wichtigen Informationen hier:
Zur Information

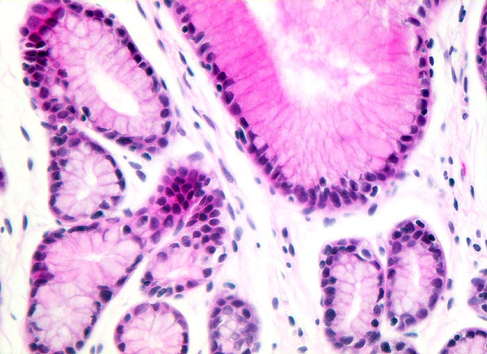
PathoPic – image database / PathoPic ID 4423 - normales Magenantrum

de
Diagnose
normales Magenantrum
Diagnose Gruppe
Normalbefund
Topographie
Magenantrum
Topographie Gruppe
Oesophagus, Magen
Beschreibung
Das foveoläre Epithel ist etwas höher als das Epithel der antralen Schleimdrüsen. Das Stroma der Lamina propria enthält spindelige Fibroblasten und nur ganz vereinzelte Lymphozyten mit kleinen runden Kernen.
Bilder Typ
Histologie
Vergrösserung
200
Alter
55
Geschlecht
männlich
Datum
Ersteintrag: 15.04.2002