Wichtiger Sicherheitshinweis: Pathorama wurde zwischen dem 26. und 27. Dezember 2025 angegriffen. Falls Sie die Website in diesem Zeitraum besucht haben, lesen Sie bitte die wichtigen Informationen hier:
Zur Information

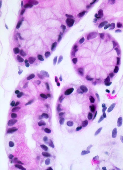
PathoPic – image database / PathoPic ID 4425 - normales Magenantrum: Schleimdrüsen

de
Diagnose
normales Magenantrum: Schleimdrüsen
Diagnose Gruppe
Normalbefund
Topographie
Magenantrum
Topographie Gruppe
Oesophagus, Magen
Beschreibung
Die Schleimdrüsen des Magenantrums werden ausgekleidet durch kubische bis hochprismatische schleimbildende Zellen mit eingestreuten enterochromaffinen Zellen des diffusen neuroendokrinen Systems. Diese Zellen haben helles Zytoplasma und dunkle runde Kerne. Lockeres Stroma der Lamina propria mit einzelnen eosinophilen Granulozyten. Neutrophile Granulozyten oder Plasmazellen sind nicht nachweisbar.
Bilder Typ
Histologie
Vergrösserung
630
Alter
55
Geschlecht
männlich
Datum
Ersteintrag: 15.04.2002