Wichtiger Sicherheitshinweis: Pathorama wurde zwischen dem 26. und 27. Dezember 2025 angegriffen. Falls Sie die Website in diesem Zeitraum besucht haben, lesen Sie bitte die wichtigen Informationen hier:
Zur Information

Basel 3BA HS/ Morbus Crohn

Diagnose
Morbus Crohn
Diagnose Gruppe
Entzündung / Reparatur
Differenzialdiagnose
Topographie Gruppe
Darm, Anus
Topographie
Ileum terminal
Einleitung
Definition:
Der Morbus Crohn gehört zusammen mit der Colitis ulcerosa zu den idiopathischen chronischen schubweise verlaufenden  immunvermittelten entzündlichen Darmerkrankungen mit überwiegender Manifestation im Gastrointestinaltrakt. Daneben kommen aber auch extraintestinale Manifestationen vor, welche Augen, Haut, Gelenke und Leber betreffen können. 

Aetiologie:
Die Pathogenese dieser beiden Erkrankungen liess sich bisher nicht klären. Es scheint, dass unterschiedliche genetische und immunologische Mechanismen eine Rolle spielen, welche durch Umweltfaktoren beeinflusst werden. Es liegt ein Ungleichgewicht von Toleranz auf Mikroorganismen und Pathogenantwort vor und eine hyperaktive CD4+ T-Zelleantwort auf die normale Darmflora. Die Permeabilität der intestinalen Barriere des intestinalen Epithels ist erhöht. 
Denkbar ist, daß eine antigenunabhängige, sich selbst unterhaltende Entzündung abläuft, die nach initialer Auslösung vor allem durch eine genetisch determinierte Störung der Toleranz gegen die eigene Darmflora gekennzeichnet ist.
Risikofaktoren für die Entwicklung eines Morbus Crohn sind Nikotinabusus, Verbesserung der hygienischen Bedingungen und eine genetische Prädisposition.
 
Lokalisation:
Die Verteilung der Läsionen im Darm ist sowohl makrokopisch (> 2884) als auch mikroskopisch (> 656) (> 409) diskontinuierlich und herdförmig ausgeprägt. Im Gegensatz zur Colitis ulcerosa können beim Morbus Crohn nicht nur das Kolon, sondern sämtliche Abschnitte des Gastrointestinaltraktes befallen sein. Am häufigsten ist das terminale Ileum zusammen mit dem Kolon befallen. 
 
Morphologie:
Makroskopisch typisch sind oberflächliche aphthöse Ulzera, gartenschlauchartige Strikturen im Dünn- und Dickdarm mit segmental verdickter und fibrosierter Darmwand, intramurale Abszesse, entzündliche Konglomerattumoren und verbackene Darmschlingen mit Fistelbildungen. Häufiger im Dünndarm als im Dickdarm findet sich das klassiche Pflastersteinrelief der Schleimhaut aufgrund rissförmiger Ulzera zwischen ödematösen Schleimhautarealen (> 369) Granulationsgewebspolypen oder Pseudopolypen (erhaltene Schleimhautinseln in Ulkusarealen) (> 408) finden sich beim Crohn seltener als bei der Colitis ulcerosa. 

Befallsmuster:

·        30-50% ileokolisch
·        25-40% Dünndarm
·        10-30% ausschliesslich Kolon
·        50% extraintestinaler Befall (Ösophagus, Magen, Duodenum, Anus)
·        25% ausserhalb des Gastrointestinaltrakts (Gelenke, Leber, Haut, Auge, Urogenitale)

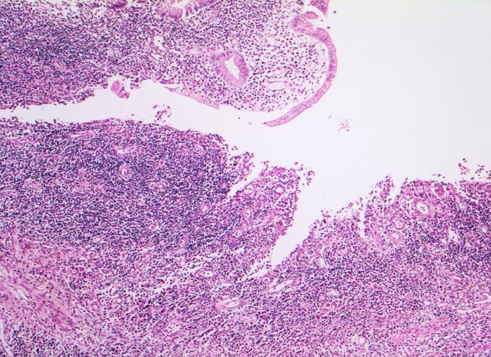
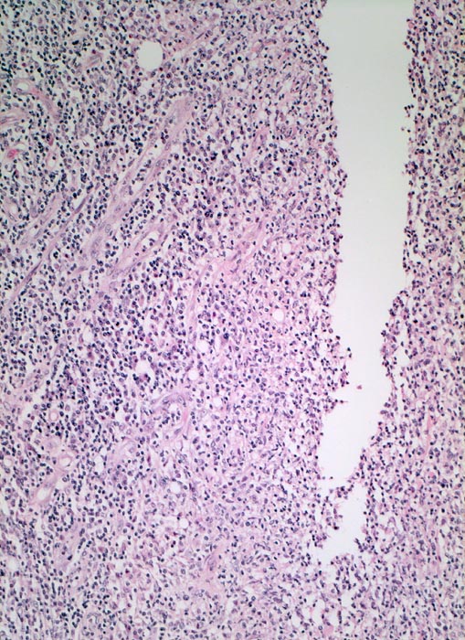
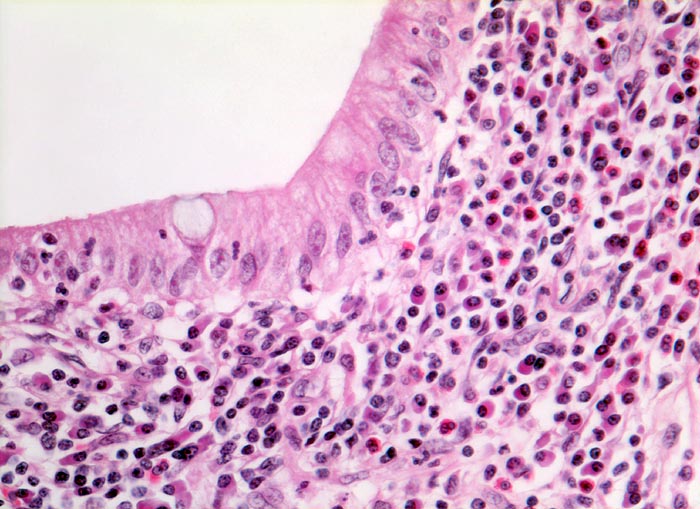
In Biopsien der Darmschleimhaut zeigen sich als Zeichen der Chronizität eine Architekturstörung, reepithelialisierte Schleimhautdefekte und metaplastische Veränderungen. Typisch für den Morbus Crohn sind entzündlich veränderte Schleimhautabschnitte neben weitgehend normaler Schleimhaut. In der Lamina propria findet sich ein verdichtetes gemischtes Infiltrat bestehend aus Lymphozyten, Plasmazellen, Makrophagen, neutrophilen und eosinophilen Granulozyten. Typisch für chronisch entzündliche Darmerkrankungen ist eine basal betonte Lymphoplasmozytose der Lamina propria. Die neutrophilen Granulozyten finden sich herdförmig in der Lamina propria, im Kryptenepithel (Kryptitis) und als Ansammlung in dilatierten Krypten (Kryptenabszess). Erhaltene Schleimhautabschnitte zwischen ulzerierten Arealen und Granulationsgewebe imponieren als entzündliche Pseudopolypen.
Befunde in der Mukosa wie epitheloidzellige Granulome, aphthöse Ulzera und Erosionen und fokal aktive Entzündung sind nicht spezifisch für den Morbus Crohn. Jene histologischen Aspekte, welche die Erkrankung am besten charakterisieren, sind in der Darmwand gelegen und lassen sich an einer endoskopisch gewonnenen Biopsie nicht nachweisen (fissurale, spaltförmige Ulzera, submukosales Ödem mit Lymphangiektasien, submukosale Fibrose, transmurale Entzündung mit lymphoidzelligen Aggregaten, neuromuskuläre Hypertrophie mit Wandverdickung (> 364), subseröse und submuköse Granulome (> 1133)). 
Für die korrekte Diagnosestellung müssen deshalb endoskopische und klinische Befunde und der klinische Verlauf bekannt und mitberücksichtigt werden.

Update 2. September 2020

Klinik
Vorkommen:
Die Inzidenz des Morbus Crohn liegt in Europa bei 2.1 bis 3.7 / 100’000 Einwohner pro Jahr. Die Inzidenz hat in den industrialisierten Ländern in den letzten 50 Jahren deutlich zugenommen (Umweltfaktoren). Die Erkrankung hat einen Alterspeak im zweiten bis dritten Lebensjahrzehnt und einen kleineren Peak bei 60-80 Jährigen. Im Gegensatz zur Colitis ulcerosa steigen die Morbiditätszahlen bei Morbus Crohn vor allem im Kindesalter nach wie vor an. Etwa 20-25% aller Neuerkrankungen werden im Kindesalter (unter 15 Jahre) beobachtet. Dabei werden initial nur relativ wenige Crohn-Fälle richtig diagnostiziert.15-20% der Patienten haben eine positive Familienanamnese. 
 
Symptomatik:
Die Beschwerden variieren je nach Entzündungsaktivität und Befallsmuster. Typisch ist die Trias von Diarrhoe, diffusen oder lokalisierten Bauchschmerzen und Gewichtsverlust. Daneben kann man leichtes Fieber, erhöhte Ermüdbarkeit, Schleim-, Blut- und Eiterabgänge im Stuhl, Blähungen, Obstipation bei Stenosen, perianale Fissuren und Fisteln beobachten. Als Komplikation von Fisteln sind kotiges Erbrechen, rezidiverende Harnwegsinfekte mit Pneumaturie oder kotiger Vaginalausfluss möglich. Wachstumsstörungen und verspätete Pubertät treten bei Kindern mit Morbus Crohn häufig auf. 

Diagnostik:
Wichtig für die Diagnosestellung und exakte Klassifikation einer chronischen entzündlichen Darmerkrankung ist der Einbezug von klinischen, radiologischen und endoskopischen Befunden (Symptome, zeitlicher Verlauf, bisherige Therapie, Aussehen und Verteilung der Läsionen im Darm). Da die histopathologische Differenzierung zwischen Morbus Crohn und Colitis ulcerosa mit zunehmender Dauer der Erkrankung und als Folge der Therapie erschwert sein kann, sollte die korrekte Einteilung wenn möglich beim ersten Schub erfolgen. Klassische Veränderungen finden sich etwa 6-8 Wochen nach Symptombeginn. Bei fulminanter Erkrankung kann die eindeutige Zuordnung unmöglich sein. Bei einem ersten Schub einer entzündlichen Darmerkrankung muss differentialdiagnostisch auch an eine infektiöse (> 3337), eine ischämische (> 2760) (> 2759), eine medikamentös-toxische oder allergische Darmerkrankung gedacht werden. 
 
Therapie:
Die Therapie richtet sich nach der jeweiligen Entzündungsaktivität und erfolgt meist medikamentös. Die Initiation wie auch die Chronifizierung der intestinalen Entzündung lassen sich weitgehend aus Ungleichgewichten zwischen pro- und kontraentzündlichen Mediatoren erklären. Da eine kausale Therapie nach wie vor nicht möglich ist, zielt ein Grossteil der neueren, in der Immuntherapie eingesetzten antiinflammatorischen und immunsuppressiven Medikamente auf eine Immunmodulation, das heißt eine Beeinflussung des Gleichgewichts zwischen entzündungsfördernden und -hemmenden Zytokinen. Unter Umständen wird ein chirurgisches Vorgehen notwendig (Abszess, mechanischer Ileus, Perforation, toxisches Megakolon, Fisteln...). 

Prognose:
Charakteristisch sind wechselnde Phasen von Rezidiven und Remissionen. Patienten mit Morbus Crohn haben eine erhöhte Mortalität im Vergleich zur Normalbevölkerung. Das Risiko für Karzinome des Kolorektums und des Dünndarms ist erhöht. 5% entwickeln ein gastrointestinales Karzinom. 
 
Update 2. September 2020

Normalbefund
Morphologie
Morphologische Merkmale: 
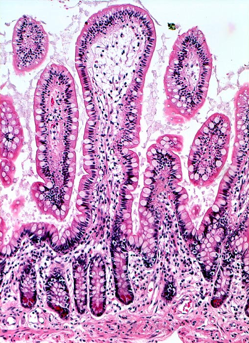
  • Architekturstörung: Verplumpung und Abflachung der Dünndarmzotten. Verzweigte Krypten.
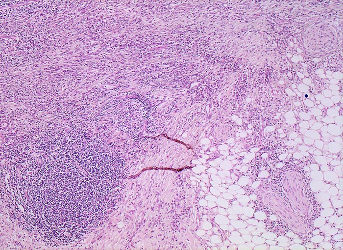
  • Transmurale Entzündungsinfiltrate mit Lymphfollikelbildung.
  • Zahlreiche epitheloid-riesenzellige Granulome in allen Wandschichten. 
  • Schlitzförmige fissurale Ulzera mit Vernarbung der umgebenden Submukosa. 
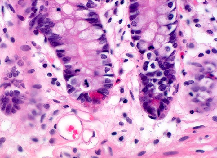
  • Verdichtetes lymphoplasmazelluläres Entzündungsinfiltrat in der Lamina proria. 
Neutrophile Granulozyten in der Lamina propria (aktive Entzündung) und Gewebseosinophilie (vermehrte eosinophile Granulozyten in der Lamina propria).
 
Das sollte der Kliniker dem Pathologen mitteilen: 
  • Bekannter Morbus Crohn und Datum der Erstdiagnose. 
  • Verteilung der entzündlichen Läsionen im Gastrointestinaltrakt. 
  • Symptomatik. 
  • Therapie (Art und Zeitdauer). 
  • Verdacht auf dysplastische Herde/Adenom.
  • Mögliche Differentialdiagnosen (Ischämie, NSAR). Praxis-Tipp: 
  • Proben aus verschiedenen Regionen des Gastrointestinaltraktes in separaten Gefässen einsenden und genaue Entnahmestellen in Schemazeichnung eintragen. 
Makroskopie
Befund
Pathologischer Befund
Normalbefund
Datum
Ersteintrag: 10.07.2019
Update: 01.09.2020