Wichtiger Sicherheitshinweis: Pathorama wurde zwischen dem 26. und 27. Dezember 2025 angegriffen. Falls Sie die Website in diesem Zeitraum besucht haben, lesen Sie bitte die wichtigen Informationen hier:
Zur Information

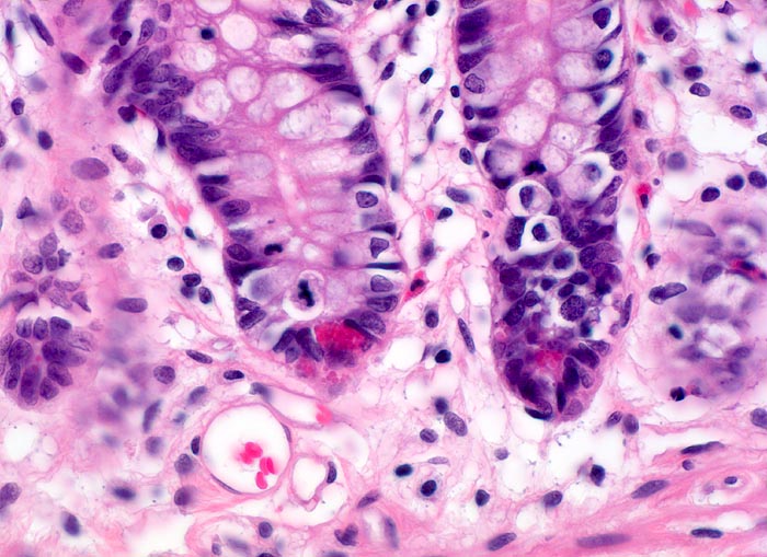
PathoPic – image database / PathoPic ID 4065 - Dünndarmkrypten

de
Diagnose
Dünndarmkrypten
Diagnose Gruppe
Normalbefund
Topographie
Ileum
Topographie Gruppe
Darm, Anus
Beschreibung
Proliferationszone an der Kryptenbasis mit höherer Kern-Zytoplasmarelation, dichter liegenden Zellen und mehreren Mitosen. Paneth'sche Körnerzellen mit rot granuliertem Zytoplasma.
Bilder Typ
Histologie
Vergrösserung
400
Alter
34
Geschlecht
unbekannt
Datum
Ersteintrag: 02.10.2002