Wichtiger Sicherheitshinweis:
Pathorama wurde zwischen dem
26. und 27. Dezember 2025
angegriffen. Falls Sie die Website in diesem Zeitraum besucht haben, lesen Sie bitte die wichtigen Informationen hier:
Zur Information
Pathopic
HiPaKu
ZyPaKu
Projektinfos
PathoPic - Projekt- und Copyright-Info
About
Pathopic
HiPaKu
ZyPaKu
PathoPic – image database
/
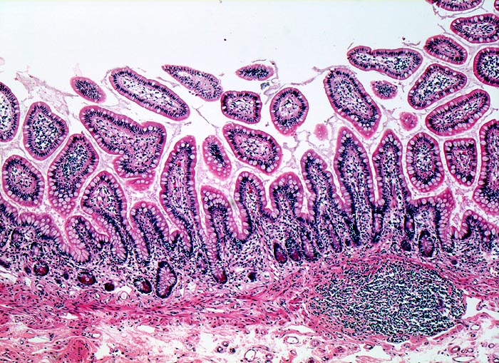
PathoPic ID 4064 - normale Ileumschleimhaut
de
Diagnose
normale Ileumschleimhaut
Diagnose Gruppe
Normalbefund
Topographie
Ileum
Topographie Gruppe
Darm, Anus
Beschreibung
Regelmässig aufgebaute Dünndarmmucosa mit
Zotten und
Krypten. Lockeres Entzündungsinfiltrat in der Lamina propria. Lymphfollikel in der Submucosa.
Bilder Typ
Histologie
Vergrösserung
50
Alter
34
Geschlecht
unbekannt
Datum
Ersteintrag: 02.10.2002
CPS
·
©
2025 Institut für Pathologie Basel
/
Dr. med. Katharina Glatz-Krieger
.
·
v2.2