Wichtiger Sicherheitshinweis:
Pathorama wurde zwischen dem
26. und 27. Dezember 2025
angegriffen. Falls Sie die Website in diesem Zeitraum besucht haben, lesen Sie bitte die wichtigen Informationen hier:
Zur Information
Pathopic
HiPaKu
ZyPaKu
Projektinfos
PathoPic - Projekt- und Copyright-Info
About
Pathopic
HiPaKu
ZyPaKu
PathoPic – image database
/
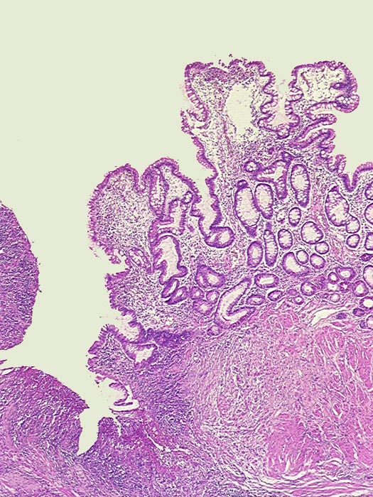
PathoPic ID 369 - Fissurales Ulkus bei floridem Morbus Crohn
de
Diagnose
Fissurales Ulkus bei floridem Morbus Crohn
Diagnose Gruppe
Entzündung / Reparatur
Topographie
Ileum terminal
Topographie Gruppe
Darm, Anus
Beschreibung
Links das tiefreichende Ulkus. Rechts davon hyperplastische Dünndarmschleimhaut (makroskopisch Pflastersteinrelief).
Klinik
Stenose des terminalen Ileums mit chronischem Subileus
Bilder Typ
Histologie
Alter
53
Geschlecht
unbekannt
Datum
Ersteintrag: 09.11.2001
CPS
·
©
2025 Institut für Pathologie Basel
/
Dr. med. Katharina Glatz-Krieger
.
·
v2.2