Wichtiger Sicherheitshinweis:
Pathorama wurde zwischen dem
26. und 27. Dezember 2025
angegriffen. Falls Sie die Website in diesem Zeitraum besucht haben, lesen Sie bitte die wichtigen Informationen hier:
Zur Information
Pathopic
HiPaKu
ZyPaKu
Projektinfos
PathoPic - Projekt- und Copyright-Info
About
Pathopic
HiPaKu
ZyPaKu
PathoPic – image database
/
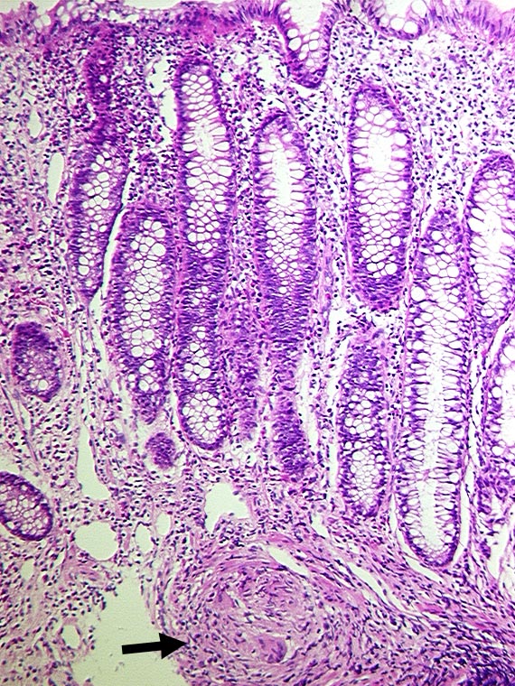
PathoPic ID 1133 - Granulom in der Submukosa bei Morbus Crohn
de
Diagnose
Granulom in der Submukosa bei Morbus Crohn
Diagnose Gruppe
Entzündung / Reparatur
Topographie
Dünndarm
Topographie Gruppe
Darm, Anus
Beschreibung
An dieser Stelle weitgehend unauffällige Mukosa. In der Submukosa ein epitheloidzelliges
►
Granulom mit einer Riesenzelle.
Zusatzbefund
Fokal aktive Entzündung.
Klinik
Bekannter Morbus Crohn seit 8 Jahren.
Bilder Typ
Histologie
Geschlecht
weiblich
Datum
Ersteintrag: 30.11.2001
CPS
·
©
2025 Institut für Pathologie Basel
/
Dr. med. Katharina Glatz-Krieger
.
·
v2.2