Wichtiger Sicherheitshinweis:
Pathorama wurde zwischen dem
26. und 27. Dezember 2025
angegriffen. Falls Sie die Website in diesem Zeitraum besucht haben, lesen Sie bitte die wichtigen Informationen hier:
Zur Information
Pathopic
HiPaKu
ZyPaKu
Projektinfos
PathoPic - Projekt- und Copyright-Info
About
Pathopic
HiPaKu
ZyPaKu
PathoPic – image database
/
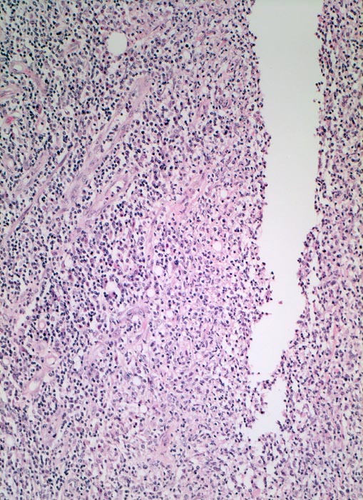
PathoPic ID 5087 - Morbus Crohn: fissurales Ulkus
de
Diagnose
Morbus Crohn: fissurales Ulkus
Diagnose Gruppe
Entzündung / Reparatur
Topographie
Ileum terminal
Topographie Gruppe
Darm, Anus
Beschreibung
Spaltförmiges Ulkus gesäumt von entzündlich infiltriertem Granulationsgewebe mit zahlreichen
Gefässen.
Klinik
Bekannter Morbus Crohn. Resektion des terminalen Ileum wegen mechanischem Subileus und enterokutaner Fistelbildung.
Kommentar
Die Vermehrung von Nerven ist typisch bei Morbus Crohn.
Bilder Typ
Histologie
Vergrösserung
100
Alter
27
Geschlecht
männlich
Datum
Ersteintrag: 06.07.2002
CPS
·
©
2025 Institut für Pathologie Basel
/
Dr. med. Katharina Glatz-Krieger
.
·
v2.2