Wichtiger Sicherheitshinweis: Pathorama wurde zwischen dem 26. und 27. Dezember 2025 angegriffen. Falls Sie die Website in diesem Zeitraum besucht haben, lesen Sie bitte die wichtigen Informationen hier:
Zur Information

Staats/ Hepatozelluläres Karzinom

Diagnose
Hepatozelluläres Karzinom
Diagnose Gruppe
maligner Tumor
Differenzialdiagnose
  • - Leberzelladenom- Makroregenerativer Knoten in Zirrhose- Cholangiokarzinom- Metastase
Topographie Gruppe
Leber, Gallenwege, Pankreas
Topographie
Leber
Einleitung
Histogenese:
Die Tumorzellen zeigen eine hepatozelluläre Differenzierung (Gallebildung, Ausbildung von Gallecanaliculi). 

Morphologie:
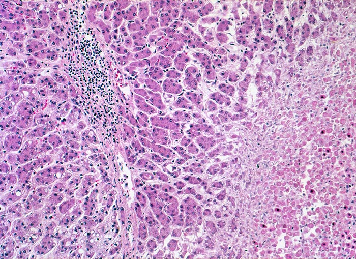
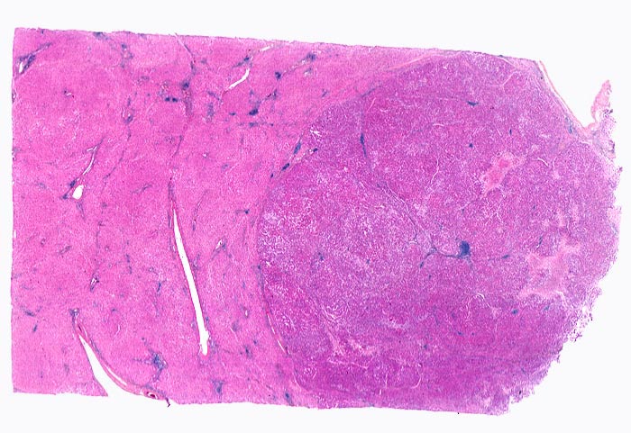
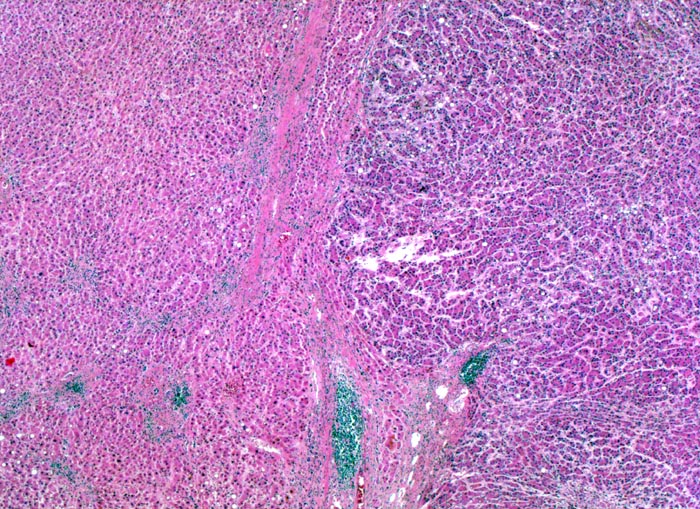
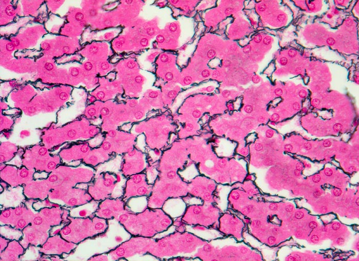
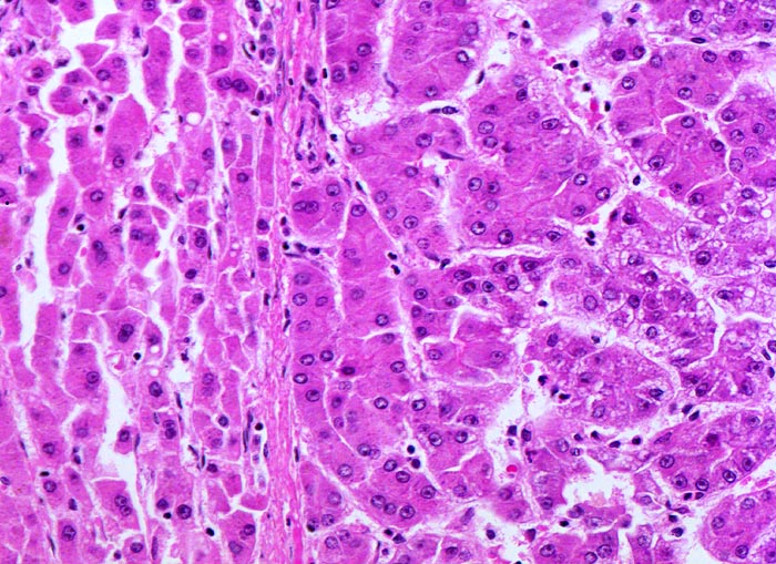
Makroskopisch imponiert das hepatozelluläre Karzinom als solitäre grosse Tumormasse, als zahlreiche zirrhoseartige Knoten oder als scharf begrenzter Knoten mit oder ohne Kapsel. Die tumorfreie Leber ist in der Mehrheit der Fälle zirrhotisch umgebaut. Mikroskopisch bilden die Tumorzellen mehr als 2 Zellen breite Trabekel (> 1237), kompakte Tumormassen (> 1229) oder pseudoglanduläre Strukturen (dilatierte Canaliculi) (> 1212) (> 1199). Desmoplastisches Bindegewebe fehlt meist. Innerhalb des Tumors fehlen Portalfelder. Es finden sich lediglich Arterien. Etwa bei der Hälfte der Karzinome lässt sich intrazytoplasmatische oder intracanaliculäre Galle (> 1238) nachweisen. Immunhistochemisch lassen sich mit einem polyklonalen Antikörper gegen Carcinoembryonales Antigen (CEA) Gallecanaliculi zwischen den Tumorzellen nachweisen. Die Tumorzellen bilden keinen Schleim. 

Anmerkung:
Hochdifferenzierte hepatozelluläre Karzinome mit geringen Zellatypien sind in Nadelbiopsien nicht immer eindeutig von Adenomen oder dysplastischen Knoten abzugrenzen. 
Klinik
Vorkommen:
Die Zahl der Neuerkrankungen an primärem hepatozellulärem Karzinom wird für die ganze Schweiz auf 300 pro Jahr geschätzt. Die Inzidenz ist regional sehr verschieden. In Ostasien und im südlichen Afrika ist das hepatozelluläre Karzinom sehr häufig (hohe Inzidenz der Hepatitis B). Hepatozelluläre Karzinome können in allen Altersgruppen auftreten. Das hepatozelluläre Karzinom ist der häufigste maligne primäre Lebertumor bei Erwachsenen. In unseren Breitengraden treten sie am häufigsten um das 60. Altersjahr auf. In Südafrika beträgt das Durchschnittsalter lediglich 35 Jahre. Männer sind vier- bis fünfmal häufiger betroffen als Frauen. 

Risikofaktoren:
Alle Erkrankungen, die zu einer Zirrhose führen, können die Entwicklung eines hepatozellulären Karzinoms begünstigen. Besonders häufig ist die Assoziation mit einer viralen Hepatitis (B oder C). Mit Aflatoxinen kontaminierte Nahrungsmittel spielen in China und im südlichen Afrika eine Rolle. Eher selten entwickeln sich hepatozelluläre Karzinome in einer alkoholischen Zirrhose. 

Symptomatik:
Symptome des hepatozellulären Karzinoms sind Gewichtsverlust, Abdominalschmerzen, Hepatomegalie, Ikterus oder Aszites. Die Tumorinfiltration der Pfortader kann zu rasch zunehmendem Aszites oder Varizenblutungen führen, die Infiltration der Lebervene kann ein Budd-Chiari-Syndrom verursachen. Der Tumor kann einen Leberabszess imitieren oder eine fulminante Hepatitis mit rasch progressivem Leberversagen. Durch Invasion des Choledochus kann ein extrahepatischer Verschlussikterus auftreten. Selten sind Metastasen in Lungen (> 1280), Knochen oder Hirn erstes Symptom. Zunehmend werden asymptomatische Tumoren bei Patienten mit bekannter Zirrhose entdeckt (Sonographie, AFP). Das Alpha-Fetoprotein ist in 70-90% der Patienten mit hepatozellulärem Karzinom erhöht. 

Therapie:
 Resektion oder orthotope Lebertransplantation (OLTx) bei ausgewählten Patienten werden in kurativer Absicht durchgeführt. Bei der Diagnosestellung ist bei den meisten Patienten das Tumorstadium oder die Leberinsuffizienz jedoch so weit fortgeschritten, daß eine Resektion oder eine Lebertransplantation nicht mehr möglich ist. In diesen Fällen kann eine lokale Therapie (Perkutane Ethanol-Injektion (> 1192) (> 528), Radiofrequenz-Thermoablation, Transarterielle Chemoembolisation) eines kleinen Karzinoms durchgeführt werden. 

Prognose:
Unbehandelt ist die Prognose sehr schlecht. Sie wird im wesentlichen bestimmt durch Tumorgröße, Zahl der Tumorherde, Gefäßinvasion (> 4474), Vorliegen einer Pfortaderthrombose, Höhe des Alpha-Fetoproteins (AFP) im Serum und den Schweregrad der Leberfunktionsstörung. Die durchschnittliche Überlebenszeit symptomatischer Patienten beträgt meist nur einige Monate. 
Morphologie
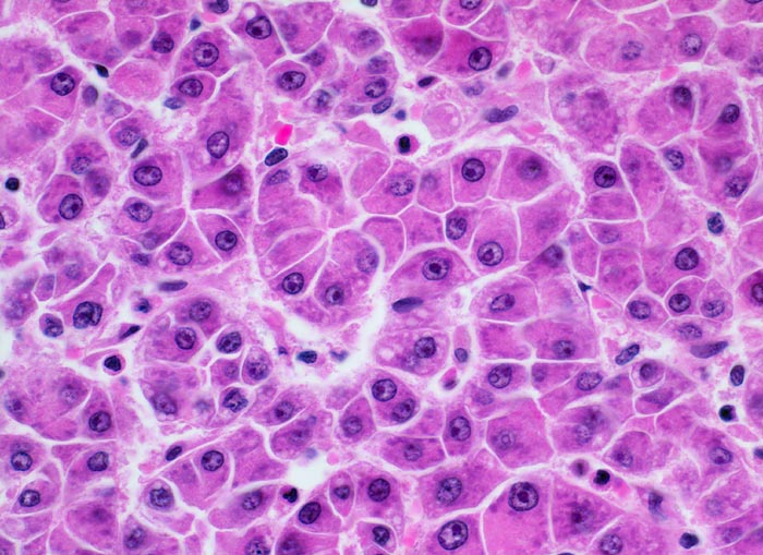
Morphologische Merkmale: 
  • Scharf begrenzter bekapselter Tumor.
  • Innerhalb des Tumors Blutgefässe, aber keine Portalfelder.
  • Die Tumorzellen bilden Trabekel, welche überwiegend mehr als 2 Zellen breit sind und Pseudodrüsen.
  • Sinusoidartige Blutgefässe mit Endothelauskleidung verlaufen zwischen den Trabekeln und den Pseudodrüsen. 
  • Die Tumorzellen erinnern an normale Hepatozyten, sind aber kleiner als die Hepatozyten und die Kern-Zytoplasmarelation ist deutlich erhöht. Das Zytoplasma ist basophiler als das der angrenzenden Hepatozyten.
  • Galle ist sichtbar in den Pseudodrüsen.
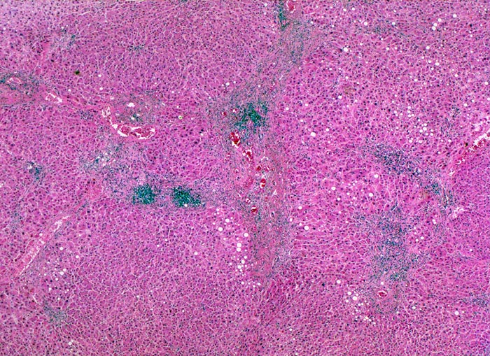
  • Tumorfreies Parenchym mit chronischer viraler Hepatitis (B und D): dichtes chronisches Entzündungsinfiltrat in den Portalfeldern übergreifend auf das Parenchym (Interfacehepatitis). Spärliche intralobuläre Entzündung mit Einzelzellnekrosen (Apoptosen). Fibrose der Portalfelder mit Septenbildung und unvollständigem zirrhotischem Umbau.
    Geringe gemischttropfige Verfettung des Leberparenchyms.

 update 17. Oktober 2022
Befund
Pathologischer Befund
Normalbefund
Datum
Ersteintrag: 10.07.2019
Update: 17.10.2022