Wichtiger Sicherheitshinweis: Pathorama wurde zwischen dem 26. und 27. Dezember 2025 angegriffen. Falls Sie die Website in diesem Zeitraum besucht haben, lesen Sie bitte die wichtigen Informationen hier:
Zur Information

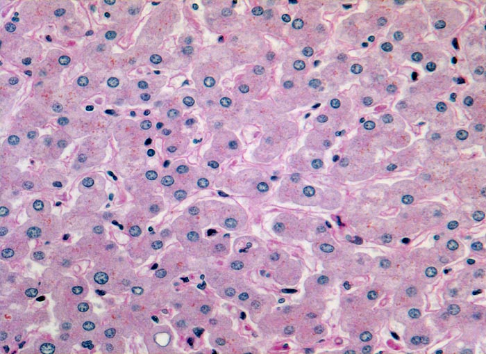
PathoPic – image database / PathoPic ID 3130 - Normales Leberparenchym

de
Diagnose
Normales Leberparenchym
Diagnose Gruppe
Normalbefund
Topographie
Leber
Topographie Gruppe
Leber, Gallenwege, Pankreas
Beschreibung
Ein- bis zweireihige Leberzellplatten. Dazwischen Sinusoide. In den Sinusoiden sind die Kerne von Endothelzellen und Kupffer'schen Sternzellen erkennbar. Das feinkörnige braune Pigment in den Hepatozyten entspricht Lipofuscinpigment.
Bilder Typ
Histologie
Vergrösserung
200
Geschlecht
weiblich
Datum
Ersteintrag: 21.03.2002