Wichtiger Sicherheitshinweis: Pathorama wurde zwischen dem 26. und 27. Dezember 2025 angegriffen. Falls Sie die Website in diesem Zeitraum besucht haben, lesen Sie bitte die wichtigen Informationen hier:
Zur Information

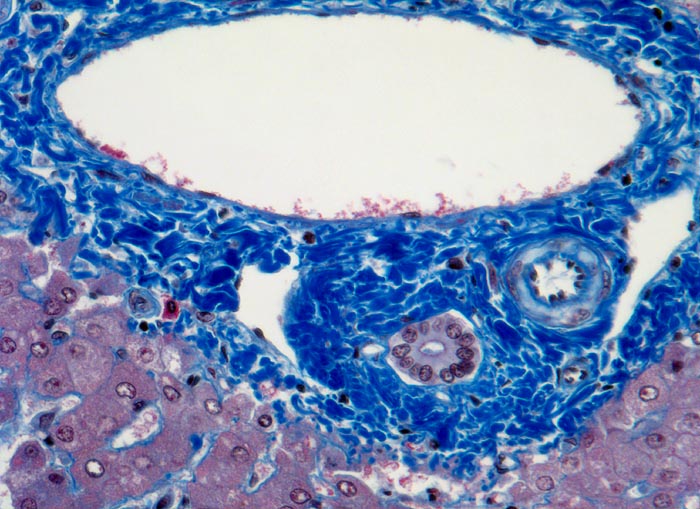
PathoPic – image database / PathoPic ID 3128 - Normales Leberparenchym mit Portalfeld

de
Diagnose
Normales Leberparenchym mit Portalfeld
Diagnose Gruppe
Normalbefund
Topographie
Leber
Topographie Gruppe
Leber, Gallenwege, Pankreas
Beschreibung
Im Bildzentrum ein Portalfeld mit dünnwandigen weitlumigen Portalvenenästen, einem Arterienast und einem Gallengang mit zylindrischem Epithel. Das Portalfeld zeigt eine minimale Fibrose und kein nennenswertes Entzündugnsinfiltrat. Das angrenzende Parenchym ist unauffällig.
Bilder Typ
Histologie
Vergrösserung
50
Geschlecht
weiblich
Datum
Ersteintrag: 21.03.2002
Update: 03.04.2007