Wichtiger Sicherheitshinweis: Pathorama wurde zwischen dem 26. und 27. Dezember 2025 angegriffen. Falls Sie die Website in diesem Zeitraum besucht haben, lesen Sie bitte die wichtigen Informationen hier:
Zur Information

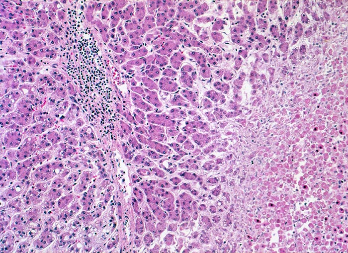
PathoPic – image database / PathoPic ID 4422 - hepatozelluläres Karzinom mit Tumornekrosen

de
Diagnose
hepatozelluläres Karzinom mit Tumornekrosen
Diagnose Gruppe
maligner Tumor
Topographie
Leber
Topographie Gruppe
Leber, Gallenwege, Pankreas
Beschreibung
Die Tumortrabekel sind in diesem Tumorabschnitt lediglich zwei Zellen breit. Lediglich die minimalen Zellatypien (verminderte Menge basophiles Zytoplasma, geringe Kernatypien) ermöglichen die Unterscheidung von einem Leberzelladenom. Das Tumorgewebe enthält fibröse entzündlich infiltrierte Septen mit Gefässen. Portalfelder mit Gallengängen fehlen. Das nekrotische Tumorgewebe ist heller gefärbt.
Klinik
Patient mit bekannter chronischer Hepatitis C. Bei einer sonographischen Kontrolluntersuchung wird ein 1cm grosser Knoten entdeckt. Das Alpha-Fetoprotein im Serum ist nicht erhöht.
Bilder Typ
Histologie
Vergrösserung
100
Alter
58
Geschlecht
männlich
Datum
Ersteintrag: 18.04.2002