Wichtiger Sicherheitshinweis: Pathorama wurde zwischen dem 26. und 27. Dezember 2025 angegriffen. Falls Sie die Website in diesem Zeitraum besucht haben, lesen Sie bitte die wichtigen Informationen hier:
Zur Information

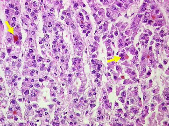
PathoPic – image database / PathoPic ID 1212 - Hepatozelluläres Karzinom

de
Diagnose
Hepatozelluläres Karzinom
Diagnose Gruppe
maligner Tumor
Topographie
Leber
Topographie Gruppe
Leber, Gallenwege, Pankreas
Beschreibung
Trabekulär aufgebautes Tumorgewebe. Pseudoglanduläre Anordnung der Tumorzellen um einen zentralen Gallepfropf. Die Tumorzellen zeigen deutlich vergrösserte Kerne mit Verschiebung der Kern-Zytoplasmarelation zu Gunsten des Kerns. Ein Teil der Tumorzellen hat klares Zytoplasma.
Zusatzbefund
Kein zirrhotischer Umbau der Restleber!
Bilder Typ
Histologie
Alter
88
Geschlecht
männlich
Datum
Ersteintrag: 04.12.2001