Wichtiger Sicherheitshinweis: Pathorama wurde zwischen dem 26. und 27. Dezember 2025 angegriffen. Falls Sie die Website in diesem Zeitraum besucht haben, lesen Sie bitte die wichtigen Informationen hier:
Zur Information

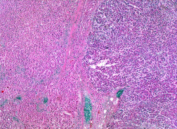
PathoPic – image database / PathoPic ID 4399 - hepatozelluläres Karzinom bei chronischer Hepatitis C

de
Diagnose
hepatozelluläres Karzinom bei chronischer Hepatitis C
Diagnose Gruppe
maligner Tumor
Topographie
Leber
Topographie Gruppe
Leber, Gallenwege, Pankreas
Beschreibung
Das Leberparenchym links im Bild zeigt entzündlich infiltrierte und fibrosierte Portalfelder als Folge der chronischen Hepatitis C. Der scharf begrenzte, unbekapselte Tumor rechts im Bild ist aufgrund der höheren Kern-Zytoplasmarelation mit erhöhter Zelldichte dunkler gefärbt. Innerhalb des Tumors fehlen Portalfelder. Die Tumorzellen bilden schmale Trabekel.
Klinik
Patient mit bekannter chronischer Hepatitis C. Bei einer sonographischen Kontrolluntersuchung wird ein 1cm grosser Knoten entdeckt. Das Alpha-Fetoprotein im Serum ist nicht erhöht.
Bilder Typ
Histologie
Vergrösserung
25
Alter
58
Geschlecht
männlich
Datum
Ersteintrag: 15.04.2002