Wichtiger Sicherheitshinweis: Pathorama wurde zwischen dem 26. und 27. Dezember 2025 angegriffen. Falls Sie die Website in diesem Zeitraum besucht haben, lesen Sie bitte die wichtigen Informationen hier:
Zur Information

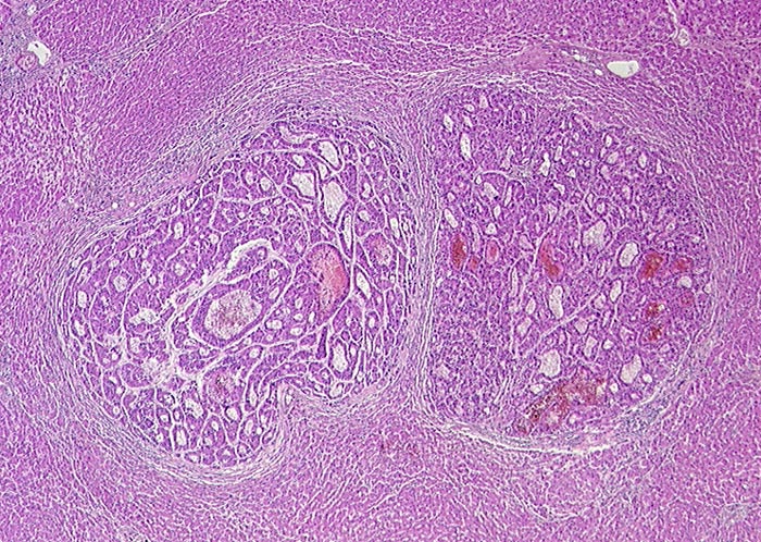
PathoPic – image database / PathoPic ID 1199 - Hepatozelluläres Karzinom

de
Diagnose
Hepatozelluläres Karzinom
Diagnose Gruppe
maligner Tumor
Topographie
Leber
Topographie Gruppe
Leber, Gallenwege, Pankreas
Beschreibung
Das Tumorgewebe in der Bildmitte ist diskret basophiler als das umgebende Leberparenchym. Leberzellähnliches Gewebe aus doppel- oder mehrreihigen Zellplatten. Diese bilden pseudoglanduläre Strukturen aus.
Zusatzbefund
Zufallsbefund bei Autopsie: Metastasierendes Hepatozelluläres Karzinom mit Tumorperforation und 3000ml blutigem Aszites. Keine Leberzirrhose.
Bilder Typ
Histologie
Alter
78
Geschlecht
männlich
Datum
Ersteintrag: 04.12.2001