Wichtiger Sicherheitshinweis:
Pathorama wurde zwischen dem
26. und 27. Dezember 2025
angegriffen. Falls Sie die Website in diesem Zeitraum besucht haben, lesen Sie bitte die wichtigen Informationen hier:
Zur Information
Pathopic
HiPaKu
ZyPaKu
Projektinfos
PathoPic - Projekt- und Copyright-Info
About
Pathopic
HiPaKu
ZyPaKu
PathoPic – image database
/
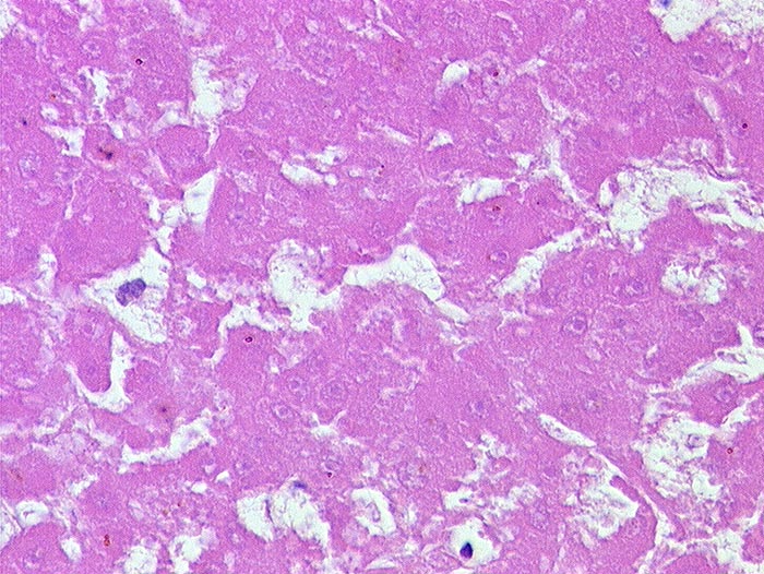
PathoPic ID 528 - Hepatozelluläres Karzinom: Tumornekrose nach Ethanolinjektion
de
Diagnose
Hepatozelluläres Karzinom: Tumornekrose nach Ethanolinjektion
Diagnose Gruppe
maligner Tumor
Topographie
Leber
Topographie Gruppe
Leber, Gallenwege, Pankreas
Beschreibung
Schattenhaft erkennbare nekrotische Tumorzellen.
Zusatzbefund
Aethylische Leberzirrhose.
Bilder Typ
Histologie
Alter
68
Geschlecht
männlich
Datum
Ersteintrag: 14.11.2001
CPS
·
©
2025 Institut für Pathologie Basel
/
Dr. med. Katharina Glatz-Krieger
.
·
v2.2