Wichtiger Sicherheitshinweis: Pathorama wurde zwischen dem 26. und 27. Dezember 2025 angegriffen. Falls Sie die Website in diesem Zeitraum besucht haben, lesen Sie bitte die wichtigen Informationen hier:
Zur Information

AP/ Anämischer Hirninfarkt

Diagnose
Anämischer Hirninfarkt
Diagnose Gruppe
vaskulär / Durchblutungsstörung
Differenzialdiagnose
Topographie Gruppe
Nervensystem
Topographie
Hirn parietal
Einleitung
Aetiologie:
Ein ischämischer zerebrovaskulärer Infarkt ist die Folge einer schweren lokalen Durchblutungsstörung im Bereich der Hirngefässe mit konsekutiver Nekrose des Hirngewebes. Die Enzephalomalazie (Hirninfarkt) ist zu 80-85% anämisch (weisser Infarkt) und zu 15-20% hämorrhagisch bedingt (roter Infarkt). Selten sind primär hämorrhagische Infarkte nach thrombotischem Verschluss einer Hirnvene oder eines Hirnsinus. Von diesen primär hämorrhagischen Infarkten sind sekundär hämorrhagische Infarkte abzugrenzen. Diese entstehen, wenn während der Abräumphase eines anämischen Infarktes der venöse Blutabfluss gestört wird (Hirndruck durch perifokales Ödem) oder eine Reperfusion von ischämisch geschädigten Gefässen eintritt. Die Form und Ausdehung des Infarktes bleibt dabei aber durch das betroffene arterielle Versorgungsgebiet bestimmt.
Die Ätiologie anämischer Hirninfarkte lässt sich in 4 Hauptgruppen aufteilen:
  • Atherosklerose 20-30% (Makroangiopathie) grosser intra- und extrakranieller Hirngefässe (Thrombose, hämodynamische Insuffizienz, arterio-arterielle Embolien)
  • Kardiogene und aortogene Embolien 20-25%
  • Mikroangiopathie der penetrierenden Arterien 20-25% (lakunäre Infarkte subkortikal und im Hirnstamm bei Mikroangiopathie z.B. bei arterieller Hypertonie oder Diabetes mellitus)
  • Nichtatherosklerotische Ursachen 5%(Vaskulopathien, Gefässdissektion, Koagulopathien)

Lokalisation:
Zwei von drei Infarkten betreffen das Karotisstromgebiet, die restlichen das vertebrobasiläre Territorium.

Morphologie:
Die morphologischen Veränderungen der Kolliquationsnekrose des Hirngewebes bei anämischer Enzephalomalazie lässt sich in drei Stadien gliedern:
  • Frische Nekrose und Demarkation (0-5 Tage): Makroskopisch nach 12 Stunden leichte Erhabenheit erkennbar (Ödem). Erweichung. Unscharfe Mark-Rindengrenze. Mikroskopisch eosinophile Degeneration der Neurone und ödematöser Randsaum.
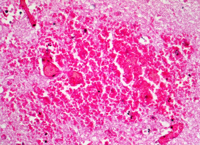
  • Resorption und Abräumung (ab 5. Tag, vorliegender Fall): Mit zunehmendem Alter des Infarktes wird das Gewebe weicher und zerfällt innerhalb einiger Wochen zerfliessend kleinzystisch (Kolliquationsnekrose). Mikroskopisch ab dem zweiten Tag Auftreten von Makrophagen im Randbereich. Durch Phagozytose von Myelinbruchstücken lipidhaltige Vakuolen im Zytoplasma der Makrophagen (=Fettkörnchenzellen). Nervenzellen im Randbereich der Nekrose können das Bild einer ischämischen Schädigung zeigen (Hypereosinophilie). Gefässproliferation. Perifokale Gliose.
  • Organisation und Zystenbildung (ab 1-8 Wochen): Übergänge zum Stadium 2 sind fliessend. Vermehrung von Fettkörnchenzellen rund um proliferierte Kapillaren. Endstadium des anämischen Infarktes bildet ein zystischer Parenchymdefekt, im Gegensatz zu anderen Organen (Herz, Niere) findet kein narbiger Umbau statt. Die in der deutschsprachigen Literatur oft erwähnte "Hirnnarbe" bezieht sich auf die reaktive Gliose im Randbereich des Infarktes. Eine reaktive Gliose ist unspezifisch und findet sich in der Nachbarschaft verschiedener Läsionen (beispielsweise Blutungen, Tumoren, Abszesse etc.). Alte abgebaute Infarkte sollen makroskopisch von alten Kontusionsherden abgegrenzt werden. Diese befinden sich praktisch ausschliesslich in frontobasaler oder temporobasaler Lokalisation (> 1436), wo umschriebene Hirninfarkte nicht vorkommen.

Anmerkung:
Durch die alleinige Untersuchung des Hirngewebes lässt sich die Ursache des Infarktes oftmals nicht ableiten. Manchmal gelingt eine eindeutigere ätiologische Zuordnung durch Beachtung der Zusatzbefunde (Makroangiopathie, Emboliequelle...).
Klinik
Vorkommen:
Zerebrovaskuläre Erkrankungen wurden 1990 weltweit als zweithäufigste Todesursache angegeben. Männer sind häufiger von einem Hirninfarkt betroffen als Frauen. Obwohl die Enzephalomalazie als Erkrankung älterer Menschen gilt, tritt ein Viertel der Infarkte bei Patienten unter 65 Jahren auf.

Symptomatik:
Das Muster der neurologischen Defekte gibt einen Hinweis auf die Ätiologie (siehe Literatur). Häufig sind einseitige Lähmungen oder Gefühlsstörungen im Gesicht und/oder Extremität, einseitige Koordinationsstörungen, Aphasie, plötzliche Blindheit oder Hemianopsien, anhaltender Schwindel mit Gangunsicherheit.

Diagnostik:
Der genaue Beginn der neurologischen Symptomatik und für eine allfällige Lysetherapie entscheidende Faktoren wie Antikoagulation, onkologische Leiden oder kürzliche Operationen oder Unfälle müssen anamnestisch abgeklärt werden. Bei Verdacht auf Enzephalomalazie und weniger als 3 Stunden dauernder Symptomatik muss zum Ausschluss einer Hirnblutung notfallmässig ein Schädel CT nativ durchgeführt werden. Dabei gilt es zu beachten, dass das Schädel CT innerhalb der ersten 6 Stunden nach anämischem Hirninfarkt einen Normalbefund zeigt. Nach 6 bis 12 Stunden erscheint das Infarktareal infolge des zunehmenden Ödems hypodens. Die Blutung dagegen ist bereits initial als hyperdense Läsion erkennbar.
In der Rehabilitationsphase muss die Hirnschlagursache eruiert werden, um eine korrekte Sekundärprävention einzuleiten.

Therapie:
Je nach Ursache ist ein unterschiedlich grosser Teil des Hirngewebes zwar funktionell gestört aber bei adäquater und schnell einsetzender Therapie potentiell rettungsfähig. Der zerebrovaskuläre Insult ist ein medizinischer Notfall, bei dem jeglicher Zeitverlust die Prognose für die Restitution verschlechtert. Eine Thrombolyse ist nur innerhalb von 3 bis 6 Stunden nach Insultbeginn nutzbringend. Hirnschlagpatienten sollten wie Herzinfarktpatienten direkt über die Nummer 144 ins Spital eingewiesen werden. Wenn eine Lysetherapie in Frage kommt, ist es sinnvoll, den Patienten direkt in ein Spital mit Lysetherapie einzuweisen und das Spital frühzeitig zu informieren.
Eine intravenöse Lyse kommt in Frage, wenn folgende Parameter erfüllt sind:
  • Alter 18-79 Jahre
  • Akutes persistierendes oder zunehmendes neurologisches Defizit
  • Radiologischer Ausschluss einer intrakraniellen Blutung
  • Lysebeginn innerhalb von 3 Stunden nach Ereignisbeginn. Letzterer muss zweifelsfrei bekannt sein.
Innerhalb von 6 Stunden nach Ereignisbeginn kann eine lokale intraarterielle Thrombolyse erwogen werden, wenn die 3-Stunden-Limite nicht eingehalten werden kann. Indikation für eine intraarterielle Lyse sind Basilaristhrombosen, Verschlüsse des Mediahauptstammes und internistische Erkrankungen, bei denen eine i.v.-Lyse zu riskant ist. Prognose: Die Thrombolyse kann Tod und bleibende Behinderung nach Hirnschlag deutlich senken. Eine frühzeitige Rehabilitation und eine adäquate Sekundärprophylaxe nach Abklärung der Infarktursache verbessern die Chance einer Restitution und verrringern Rezidivrate sowie Langzeitmortalität.

Verlauf:
Patienten mit Hirninfarkten (Bewusstseinsstörung) versterben oft an einer Aspirationspneumonie.
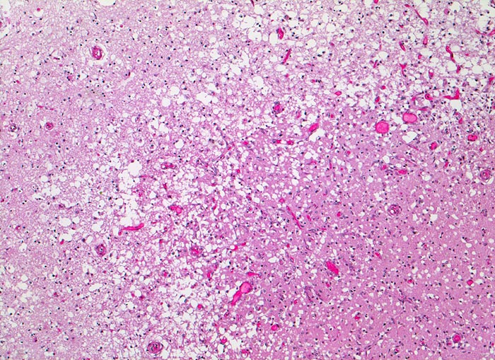
Morphologie
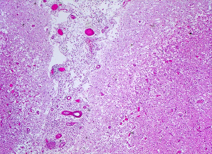
Morphologische Merkmale:
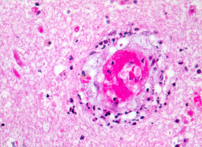
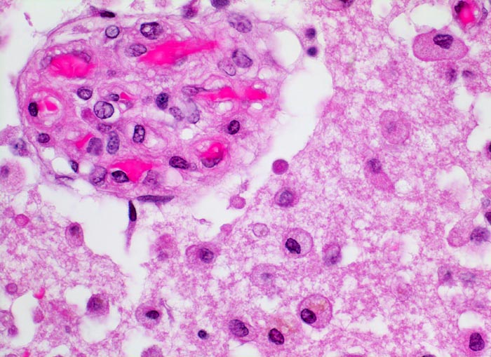
  • Links unten leptomeningeale Gefässe mit partiell rekanalisierten alten thromboembolischen Verschlüssen.
  • Unscharfe Mark-Rindengrenze im Bereich der nekrotischen Rinde.
  • Spongiotische Auflockerung der Hirnrinde (hellere Areale).
  • In der Hirnrinde sind hypereosinophile nekrotische Neuronen mit stark abgeblassten Zellkernen erkennbar.
  • Perivaskuläre Ansammlungen von phagozytierenden Fettkörnchenzellen mit reichlich lipidhaltigem Zytoplasma und ovalen Kernen sowie wenige extravasierte Erythrozyten.
Das sollte der Kliniker dem Pathologen mitteilen:
  • Radiologische Befunde.
  • Mögliche Ätiologie des Infarktes.
  • Symptomatik.
Makroskopie
Befund
Pathologischer Befund
Normalbefund
Datum
Ersteintrag: 07.01.2019
Update: 07.01.2019