Wichtiger Sicherheitshinweis: Pathorama wurde zwischen dem 26. und 27. Dezember 2025 angegriffen. Falls Sie die Website in diesem Zeitraum besucht haben, lesen Sie bitte die wichtigen Informationen hier:
Zur Information

AP/ Multiple Sklerose

Diagnose
Multiple Sklerose
Diagnose Gruppe
Entzündung / Reparatur
Differenzialdiagnose
Topographie Gruppe
Nervensystem
Topographie
Hirn temporal
Einleitung
Definition:
Die Multiple Sklerose (MS; Encephalomyelitis disseminata chronica) ist eine chronische, entzündliche, demyelinisierende Erkrankung des ZNS.

Aetiologie:
Die Ätiologie der MS ist bisher ungeklärt. Allgemein geht man heute jedoch davon aus, dass auf dem Boden einer genetischen Prädisposition verschiedene Umgebungsfaktoren, vermutlich Viren, evtl. Bakterien, zu einer Dysregulation des Immunsystems und zu einer Autoaggression gegen Bestandteile der Myelinscheide im ZNS führen. Dabei wird T-Zellen mit Antigenspezifität gegen Bestandteile der Myelinscheide wie basisches Myelinprotein, Proteolipidapoprotein, Myelinoligodendrozytenglykoprotein etc. eine zentrale Rolle zugeschrieben. Für die eigentliche Myelinschädigung scheinen spezifische Antikörper, Komplementwirkungen und Makrophagen verantwortlich zu sein.

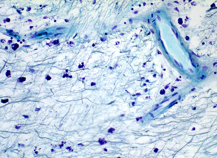
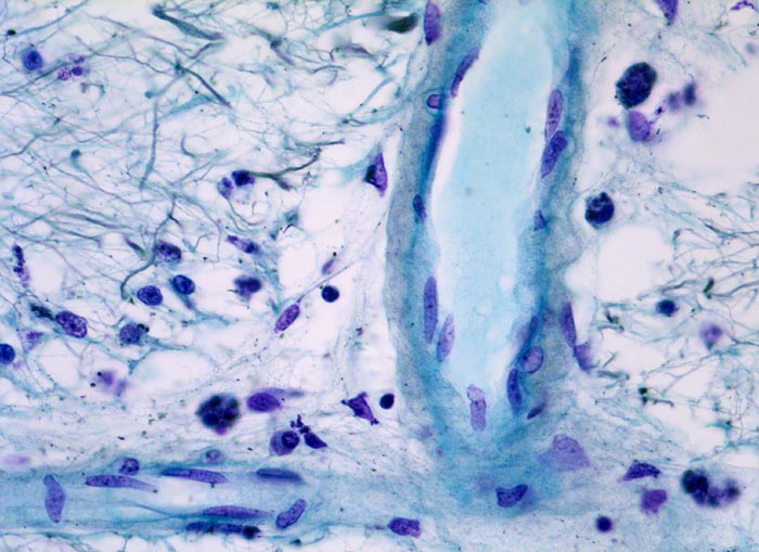
Morphologie:
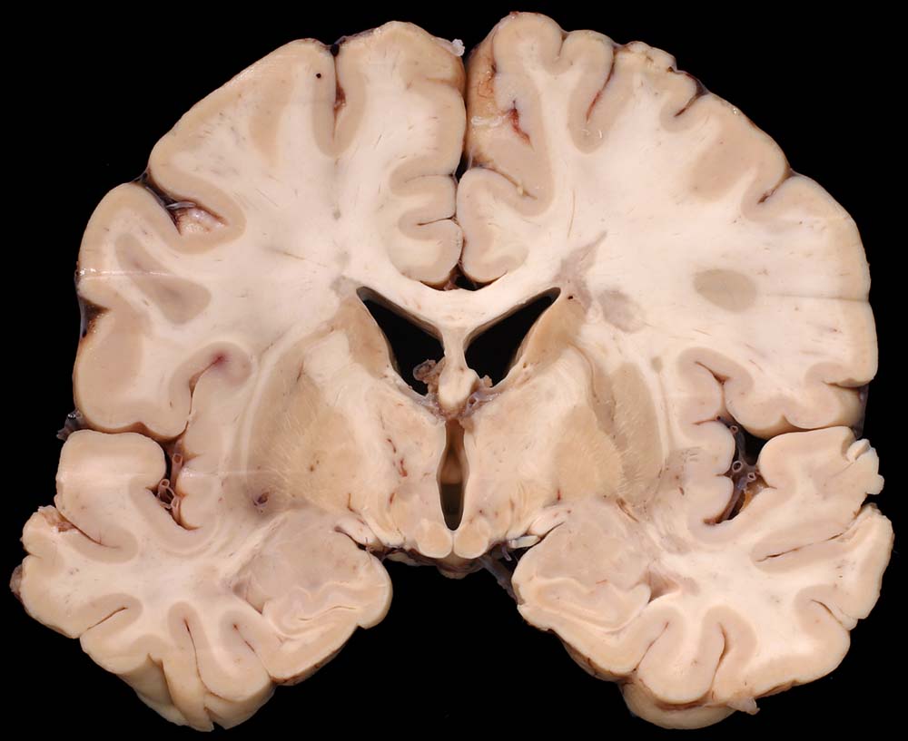
An Frontalschnitten durch das Gehirn fallen makroskopisch Entmarkungsherde vor allem im unmittelbar periventrikulären Marklager auf (um die Vorderhörner, die Cella media und um die Hinterhörner). Nicht selten finden sie sich auch um den Aquädukt und am Boden des 4. Ventrikels. Die Farbe der Herde hängt vom Alter des Prozesses ab (eher rosa bei frischen, eher grau bei alten Herden), die Konsistenz ist weich bei frischen, zunehmend derb bei alten Herden durch Gliafaservermehrung. Histologisch zeigen frische Entmarkungsherde in den ersten Tagen eine Oligodendrogliavermehrung. Ihr folgt mit beginnendem Markabbau eine Mikrogliareaktion. Mikrogliazellen, Monozyten und Makrophagen phagozytieren die Markscheidenzerfallsprodukte (> 10160) (> 10159), die teilweise lichtmikroskopisch im Zytoplasma erkennbar sind (> 10161). Lymphozyten und Plasmazellen sind vor allem perivenös an den Herdrändern lokalisiert. Zusätzlich proliferieren faserbildende Astrozyten (> 10162). In älteren Herden (vorliegendes Präparat) fehlen die Markscheiden praktisch vollständig. Axone bleiben erhalten und es besteht eine dichte Fasergliose. Diese ausgebrannten Herde überwiegen beim chronisch Erkrankten. Auch bei ihm können allenfalls noch frischere Stadien gefunden werden.
Klinik
Vorkommen:
Die Prävalenz wird für die Schweiz mit ca. 110/100‘000 geschätzt, wobei regionale Unterschiede von weniger als 50 (Wallis) bis knapp 200 (Basel-Stadt) gefunden wurden. Die jährliche Inzidenz wird zwischen 2 und 4/100'000 angegeben. Frauen sind etwa doppelt so oft betroffen. Die MS manifestiert sich zumeist im 3.-4. Lebensjahrzehnt, jedoch beginnt die Erkrankung in ca. 3% aller Fälle bereits vor dem 17. Lebensjahr, selten sogar schon im Kleinkindesalter.

Verlauf:
Es gibt verschiedene Verlaufsformen der MS. Am häufigsten ist ein schubförmiger Krankheitsverlauf mit intermittierenden symptomfreien Intervallen: Schubförmig entwickeln sich fokale neurologische Defizite, die sich rasch manifestieren, über Tage bis Wochen (seltener Monate) persistieren und sich in der anschließenden Remissionsphase partiell oder komplett zurückbilden. Im Kindesalter sehr selten und prognostisch ungünstiger ist die primär progrediente Verlaufsform, bei der es zu einer fortschreitenden Symptomatik ohne Remissionen kommt. Schließlich kann auch ein zunächst schubförmiger Verlauf in eine sekundär progrediente Erkrankung übergehen. Die Diagnose erfolgt im wesentlichen klinisch, gestützt auf Zusatzuntersuchungen.

Diagnostik:
Nach Ausschluss anderer Erkrankungen kann mit Hilfe der Poser-Kriterien die Diagnose einer gesicherten MS bei Vorliegen einer der folgenden Befundkonstellationen gestellt werden:
  • 2 Schübe und 2 voneinander räumlich getrennte Herde im ZNS, durch den neurologischen Befund dokumentiert.
  • 2 Schübe, ein Herd im neurologischen Befund, ein zusätzlicher durch paraklinische Untersuchungen belegter Herd.
  • 2 Schübe, ein Herd durch neurologische Untersuchung oder paraklinische Befunde dokumentiert, zusätzlich Nachweis von oligoklonalen Banden oder/und erhöhter autochthoner IgG-Produktion im ZNS.
  • Ein Schub, 2 Herde im neurologischen Untersuchungsbefund und Nachweis von oligoklonalen Banden und/oder erhöhtem IgG.
  • Ein Schub, ein Herd durch neurologischen Befund, ein Herd durch paraklinische Untersuchung und Nachweis von oligoklonalen Banden und/oder erhöhtem IgG im Liquor.
Zur Abschätzung der Krankheitsaktivität und zur frühzeitigen Erkennung von Sekundärfolgen sind regelmäßige Nachsorgeuntersuchungen in 6- bis maximal 12-monatigen Abständen erforderlich.

Therapie:
Im Erkrankungsschub wird eine intravenöse Cortison-Megadosis-Therapie über 3 Tage empfohlen. Neben der immunsuppressiven Schubtherapie wird bei erwachsenen MS-Patienten, die mindestens 2 Schübe innerhalb der vorangegangenen 2 Jahre hatten, eine immunmodulatorische Dauerbehandlung in erster Linie mit Beta-Interferon, in Einzelfällen auch mit Glatirameracetat oder Immunglobulinen empfohlen. Bei unzureichenden Therapieerfolgen und schweren Verlaufsformen sollte individuell über eine Therapie mit Mitoxantron oder Cyclophosphamid entschieden werden. Zur symptomatischen Therapie ist regelmäßige krankengymnastische und evtl. ergotherapeutische Übungsbehandlung erforderlich. Bei schwer beeinträchtigender spastischer Bewegungsstörung evtl. orale, intrathekale oder lokale Behandlung mit tonusreduzierenden Medikamenten (Baclofen, Botulinumtoxin A). Versorgung mit orthopädischen Hilfsmitteln. Bei fortgeschrittener neurogener Blasenentleerungsstörung urologische Behandlungsmaßnahmen, am ehesten intermittierendes Einmalkatheterisieren.

Anmerkung:
Die multiple Sklerose beeinflusst mehr die Lebensqualität als die Lebensdauer.
Morphologie
Morphologische Merkmale:
  • Alter, scharf begrenzter Entmarkungsherd mit Verlust der blauen Myelinscheiden in der Holmes Luxol Färbung.
  • Vollständiger Verlust der Markscheiden (fehlende blaue Farbe) bei erhaltenen Axonen (schwarze Fasern).
  • Vereinzelte vorwiegend perivaskulär lokalisierte mononukleäre Entzündungszellen und mit Myelinbruchstücken beladene Makrophagen.
Das sollte der Kliniker dem Pathologen mitteilen:
  • Radiologischer Befund.
  • Lokalisation des Herdes.
  • Zeitlicher Verlauf.
Makroskopie
Befund
Pathologischer Befund
Normalbefund
Datum
Ersteintrag: 14.01.2010
Update: 14.01.2010