Wichtiger Sicherheitshinweis: Pathorama wurde zwischen dem 26. und 27. Dezember 2025 angegriffen. Falls Sie die Website in diesem Zeitraum besucht haben, lesen Sie bitte die wichtigen Informationen hier:
Zur Information

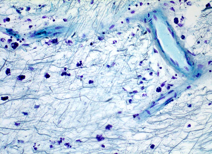
PathoPic – image database / PathoPic ID 5271 - Multiple Sklerose

de
Diagnose
Multiple Sklerose
Diagnose Gruppe
Entzündung / Reparatur
Topographie
Hirn temporal
Topographie Gruppe
Nervensystem
Beschreibung
Ausschnitt aus einem älteren Entmarkungsherd. Zwischen den übgriggebliebenen Axonen lassen sich mit Myelinbruchstücken beladene Makrophagen nachweisen. Vereinzelte mononukleäre Entzündungszellen sind vorwiegend perivaskulär lokalisiert. Oligodendrogliazellen sind nicht sicher erkennbar.
Klinik
Multiple periventrikulär gelagerte Entmarkungsherde im MRI
Bilder Typ
Histologie
Vergrösserung
200
Alter
48
Geschlecht
unbekannt
Datum
Ersteintrag: 03.08.2002