Wichtiger Sicherheitshinweis: Pathorama wurde zwischen dem 26. und 27. Dezember 2025 angegriffen. Falls Sie die Website in diesem Zeitraum besucht haben, lesen Sie bitte die wichtigen Informationen hier:
Zur Information

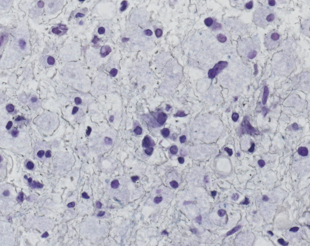
PathoPic – image database / PathoPic ID 10161 - Multiple Sklerose: subakuter Demyelinisierungsherd des Marks

de
Diagnose
Multiple Sklerose: subakuter Demyelinisierungsherd des Marks
Diagnose Gruppe
Entzündung / Reparatur
Topographie
Hirn parietal
Topographie Gruppe
Nervensystem
Beschreibung
Entmarkungsprozess, welcher durch äusserst zahlreiche Makrophagen charakterisiert ist, welche zum Teil Myelindebris enthalten. Durch den Entmarkungsherd ziehen zahlreiche, sogenannt nackte, d.h. entmarkte, Axone.
Klinik
Multifokale Marklager-Auffälligkeiten in der T2 gewichteten Magnetresonanztomographie des Schädels. DD: Multiple Sklerose, Tumor.
Bilder Typ
Histologie
Vergrösserung
400
Alter
48
Geschlecht
unbekannt
Datum
Ersteintrag: 10.02.2009
Update: 06.05.2009