Wichtiger Sicherheitshinweis: Pathorama wurde zwischen dem 26. und 27. Dezember 2025 angegriffen. Falls Sie die Website in diesem Zeitraum besucht haben, lesen Sie bitte die wichtigen Informationen hier:
Zur Information

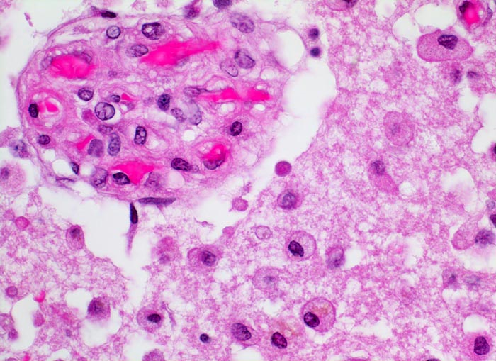
PathoPic – image database / PathoPic ID 3526 - anämischer Hirninfarkt: rekanalisiertes Gefäss

de
Diagnose
anämischer Hirninfarkt: rekanalisiertes Gefäss
Diagnose Gruppe
vaskulär / Durchblutungsstörung
Topographie
Hirn parietal
Topographie Gruppe
Nervensystem
Beschreibung
Das Gefässlumen links oben im Bild ist ausgefüllt von Organisationsgewebe. Innerhalb des Organisationsgewebes haben sich neue Gefässlumina ausgebildet. Fettkörnchenzellen umgeben das Gefäss.
Zusatzbefund
An anderer Stelle finden sich frische thrombembolische Gefässverschlüsse. Wahrscheinlich handelt es sich um ein mehrzeitiges Geschehen.
Klinik
Vor 7 Tagen Entwicklung eines Hemisyndrom links.
Bilder Typ
Histologie
Vergrösserung
400
Alter
87
Geschlecht
unbekannt
Datum
Ersteintrag: 25.09.2002