Wichtiger Sicherheitshinweis: Pathorama wurde zwischen dem 26. und 27. Dezember 2025 angegriffen. Falls Sie die Website in diesem Zeitraum besucht haben, lesen Sie bitte die wichtigen Informationen hier:
Zur Information

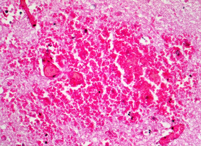
PathoPic – image database / PathoPic ID 3525 - sekundär hämorrhagischer anämischer Hirninfarkt

de
Diagnose
sekundär hämorrhagischer anämischer Hirninfarkt
Diagnose Gruppe
vaskulär / Durchblutungsstörung
Topographie
Hirn parietal
Topographie Gruppe
Nervensystem
Beschreibung
Gefäss mit partiell aufgelöstem Thrombembolus. Infolge der Reperfusion des geschädigten Gefässes kommt es zum Blutaustritt ins Parenchym.
Klinik
Vor 7 Tagen Entwicklung eines Hemisyndrom links.
Kommentar
Hämorrhagische Hirninfarkte entstehen primär als Folge von Hirngewebsnekrosen durch Behinderung des venösen Abflusses bei Venenthrombosen oder bei Infekten. Sekundär hämorrhagische Infarkte entstehen aus primär arteriellen anämischen Hirninfarkten, wenn thrombotisch oder embolisch verschlossene Gefässe sich wieder öffnen (spontane oder therapeutische Thrombolyse). Anschliessend kommt es zum Ausstrom des Blutes aus reperfundierten nekrotischen Gefässen in das infarzierte Parenchym.
Bei proximalen Verschlüssen kann es zur Reperfusion des Infarktareals über Gefässanastomosen kommen.
Bilder Typ
Histologie
Vergrösserung
200
Alter
87
Geschlecht
unbekannt
Datum
Ersteintrag: 23.07.2002