Wichtiger Sicherheitshinweis: Pathorama wurde zwischen dem 26. und 27. Dezember 2025 angegriffen. Falls Sie die Website in diesem Zeitraum besucht haben, lesen Sie bitte die wichtigen Informationen hier:
Zur Information

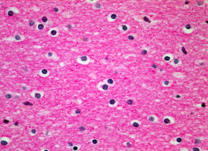
PathoPic – image database / PathoPic ID 5220 - Grosshirnmarklager

de
Diagnose
Grosshirnmarklager
Diagnose Gruppe
Normalbefund
Topographie
Hirn parietal
Topographie Gruppe
Nervensystem
Beschreibung
Neuropil mit bemarkten Axonen. Oligodentrozyten haben einen kleinen dichten runden Kern und sind umgeben von einem weissen Halo (Schrumpfungsartefakt). Mikroglia (entsprechen Makrophagen) haben längliche helle Kerne.
Bilder Typ
Histologie
Vergrösserung
400
Geschlecht
weiblich
Datum
Ersteintrag: 23.07.2002