Wichtiger Sicherheitshinweis: Pathorama wurde zwischen dem 26. und 27. Dezember 2025 angegriffen. Falls Sie die Website in diesem Zeitraum besucht haben, lesen Sie bitte die wichtigen Informationen hier:
Zur Information

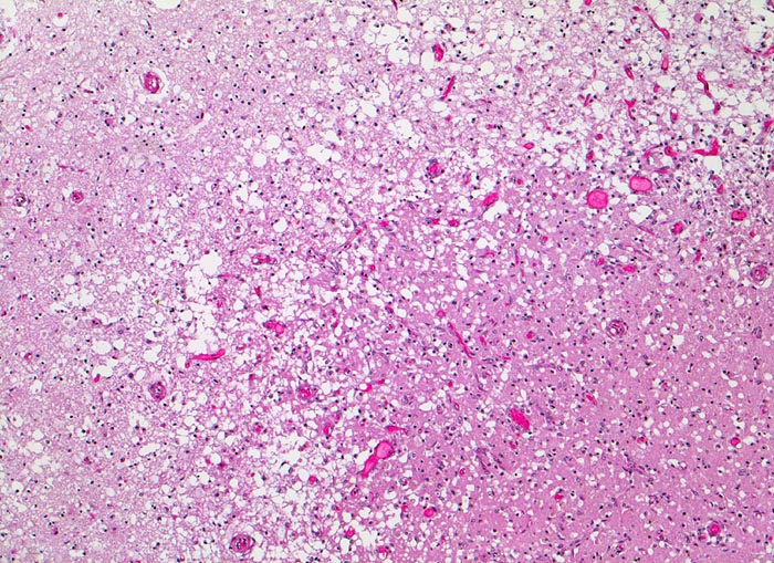
PathoPic – image database / PathoPic ID 3524 - anämischer Hirninfarkt

de
Diagnose
anämischer Hirninfarkt
Diagnose Gruppe
vaskulär / Durchblutungsstörung
Topographie
Hirn parietal
Topographie Gruppe
Nervensystem
Beschreibung
Randbereich des Infarktes mit spongiotischer Auflockerung des Hirnparenchyms, Gefässneubildungen und unscharfer Mark-Rinden Grenze. In der helleren Rinde links im Bild sind keine Neuronen sichtbar.
Klinik
Vor 7 Tagen Entwicklung eines Hemisyndrom links.
Bilder Typ
Histologie
Vergrösserung
50
Alter
87
Geschlecht
unbekannt
Datum
Ersteintrag: 25.09.2002