Wichtiger Sicherheitshinweis: Pathorama wurde zwischen dem 26. und 27. Dezember 2025 angegriffen. Falls Sie die Website in diesem Zeitraum besucht haben, lesen Sie bitte die wichtigen Informationen hier:
Zur Information

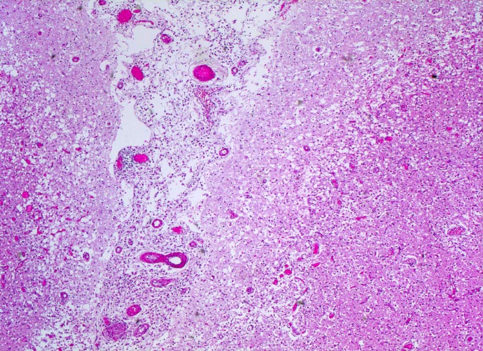
PathoPic – image database / PathoPic ID 3523 - subakuter anämischer Hirninfarkt

de
Diagnose
subakuter anämischer Hirninfarkt
Diagnose Gruppe
vaskulär / Durchblutungsstörung
Topographie
Hirn parietal
Topographie Gruppe
Nervensystem
Beschreibung
Spongiotische (=Ödem) Auflockerung der Hirnrinde (hellere Areale), Gefässneubildungen und Gefässhyperämie (hämorrhagischer Randsaum) im Randbereich der Nekrose mit unscharfer Mark-Rinden Grenze. Die Hirnhaut zwischen den beiden Windungen ist entzündlich infiltriert und enthält teilweise thrombosierte Gefässe.
Klinik
Vor 7 Tagen Entwicklung eines Hemisyndrom links.
Kommentar
Anämische Hirninfarkte entstehen als Folge eines thrombotischen oder embolischen arteriellen Verschlusses. Es kommt zur lokalen Ischämie mit Blutleere (Entfärbung des Versorgungsgebietes = weisse Enzephalomalazie) im Versorgungsgebiet der verschlossenen Arterie. Meist entsteht eine Kolliquationsnekrose (gelb-weißes Zentrum, hämorrhagischer Randsaum).
Bilder Typ
Histologie
Vergrösserung
25
Alter
87
Geschlecht
unbekannt
Datum
Ersteintrag: 25.09.2002
Update: 08.09.2008