Wichtiger Sicherheitshinweis: Pathorama wurde zwischen dem 26. und 27. Dezember 2025 angegriffen. Falls Sie die Website in diesem Zeitraum besucht haben, lesen Sie bitte die wichtigen Informationen hier:
Zur Information

AP/ Retikulozytär-abszedierende Lymphadenitis

Diagnose
Retikulozytär-abszedierende Lymphadenitis
Diagnose Gruppe
Entzündung infektiös
Differenzialdiagnose
Topographie Gruppe
Lymphatische Gewebe, KM, Milz
Topographie
Lymphknoten, Axilla
Einleitung
Aetiologie:
Bis vor kurzem war die ätiologische Ursache der Katzenkratzkrankheit umstritten. Inzwischen konnte der Erreger der Katzenkratzkrankheit identifiziert werden. Es handelt sich um ein kleines gramnegatives Stäbchen von der Gattung Bartonella (früher Rochalimaea).

Morphologie:
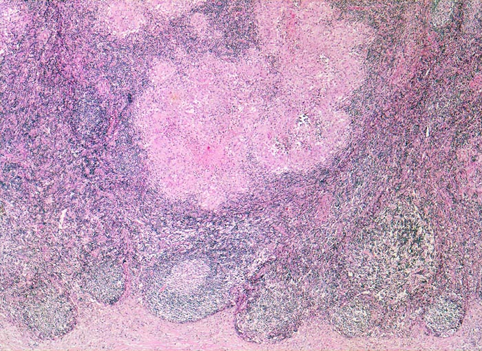
In der mittleren Dermis bilden sich Nekroseareale, welche von palisadierenden Histiozyten, mehrkernigen Riesenzellen und eosinophilen Granulozyten demarkiert werden. Die regionären Lymphknoten zeigen ebenfalls eine retikulozytär abszedierende Entzündung. Diese ist jedoch nicht spezifisch. Sie kommt auch vor bei Yersiniose, atypischer Mykobakteriose, Sporotrichose, Tularämie, Tumoren, Lymphogranuloma venereum und Coccidiomykose.
Klinik
Vorkommen:
Die Katzenkratzkrankheit ist nicht selten (0.77 bis 0.86 Fälle pro 100 000 Einwohner pro Jahr). Meist sind Patienten unter 20 Jahren betroffen. Der Infektion geht gewöhnlich ein Katzenkratzer oder –biss voraus. Auch wenn die Katzenkratzkrankheit in Europa relativ selten vorkommt, sollten bei unklarer persistierender regionaler Lymphadenopathie anamnestisch nach Kratz- oder Bissverletzungen durch Katzen gefragt und allfällige diagnostische Schritte eingeleitet werden.

Verlauf:
In 9 von 10 Fällen zeigt die Erkrankung einen typischen Verlauf mit Ausbildung einer kleinen Papel, einem Bläschen oder einer Pustel an der Inokulationsstelle, welche zur Einschmelzung neigt. Wenn die Konjunktiva die Eintrittspforte darstellt, entwickelt sich auf der palpebralen Konjunktiva ein weissgelbes 3 bis 5mm messendes Knötchen bezeichnet als okuloglanduläres Syndrom. Die Primärläsion am Ort der Verletzung tritt nach 1 bis 8 Wochen auf. Darauf folgt eine regionale Lymphadenopathie, die zuweilen das einzige Symptom bleibt. Die Mehrheit der Läsionen heilt innerhalb von 2 bis 4 Monaten spontan ab. Nur in einem Drittel der Fälle entwickeln die Patienten Fieber und Allgemeinsymptome, noch seltener auch rheumatische Beschwerden. Bei atypisch verlaufenden Fällen sind die Symptome vielfältig. Sie umfassen eine Konjunktivitis mit präaurikulärer Adenopathie, Tonsillitis, Enzephalitis, Myelitis, Radiculitis, Hepatitis, Splenitis, Pneumonie und Erythema nodosum. Bei immundefizienten Patienten nimmt die Infektion einen ungleich schwereren Verlauf mit möglicher Ausbildung einer kutanen und parenchymalen bazillären Angiomatose (Blutgefässproliferation mit Gefahr von starken Blutungen) oder Bakteriämie mit nachfolgender Endokarditis.

Diagnostik:
Die Diagnose kann bei einer Anamnese von Katzenbissen oder -kratzern durch den Nachweis des Organismus im Gewebe (Haut, Konjunktiva oder Lymphknoten) mit der Warthin-Starry-Silberfärbung oder bei positivem Hauttest gestellt werden. Es ist möglich, den Verdacht auf Katzenkratzkrankheit mit Hilfe von serologischen Methoden zu bestätigen. Untersuchungen zeigen, daß sich in annähernd 90% der Fälle mit Verdacht auf Katzenkratzkrankheit während der akuten Phase mit dem Immunfluoreszenz Test IgG-Titer von >1:64 und/oder IgM-Titer von >=1:20 im Serum nachweisen lassen. Auffällige Titer bei gesunden Personen sind selten. Mit PCR gelingt der Nachweis von Bartonella henselae DNA aus aspiriertem Eiter von Lymphknoten in 96%. Die Erreger-Kultivierung ist schwierig.

Therapie:
Die Therapieempfehlungen der Katzenkrankheit sind uneinheitlich. Bei ansonsten gesunden Patienten wird wegen der Gefahr der Abszedierung eine antibiotische Therapie mit Makroliden oder alternativ mit Tetrazyklinen bzw. Quinolonen über 3 Tage empfohlen. Bei Immundefizienten ist eine Behandlungsdauer von 4 Wochen notwendig.
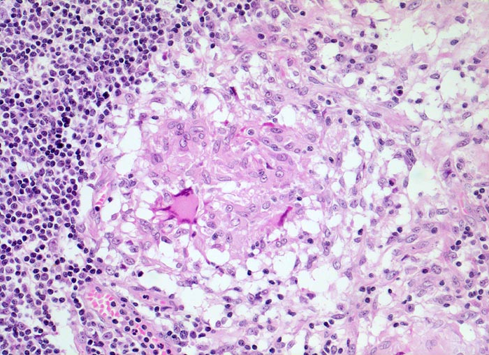
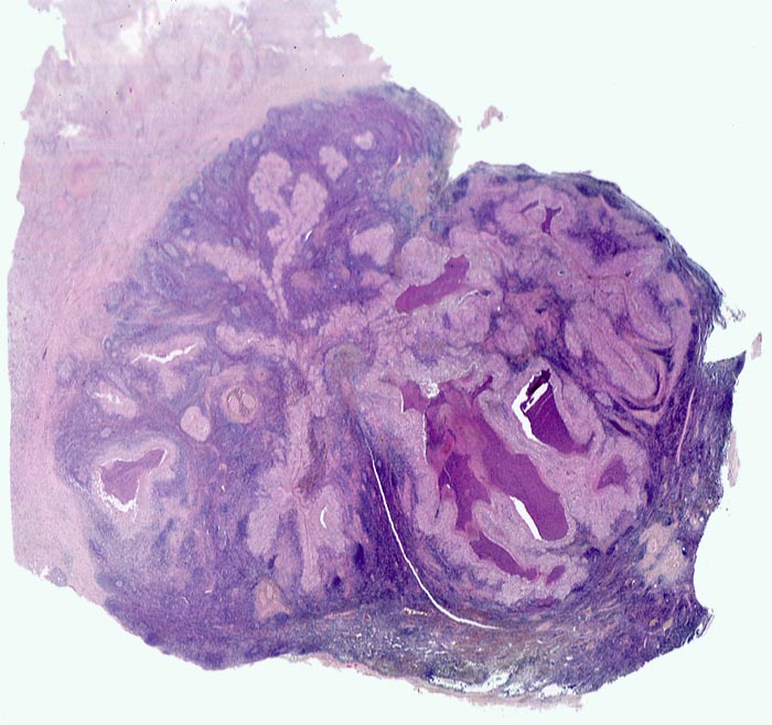
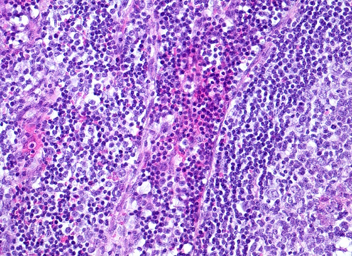
Morphologie
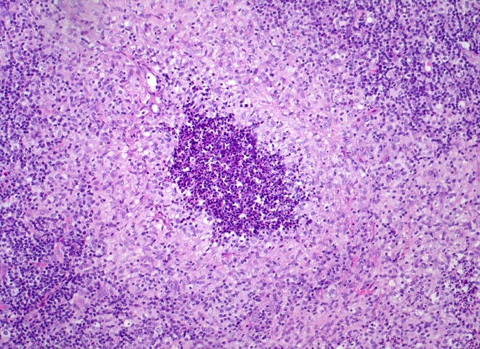
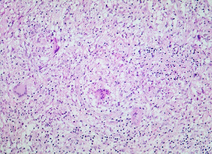
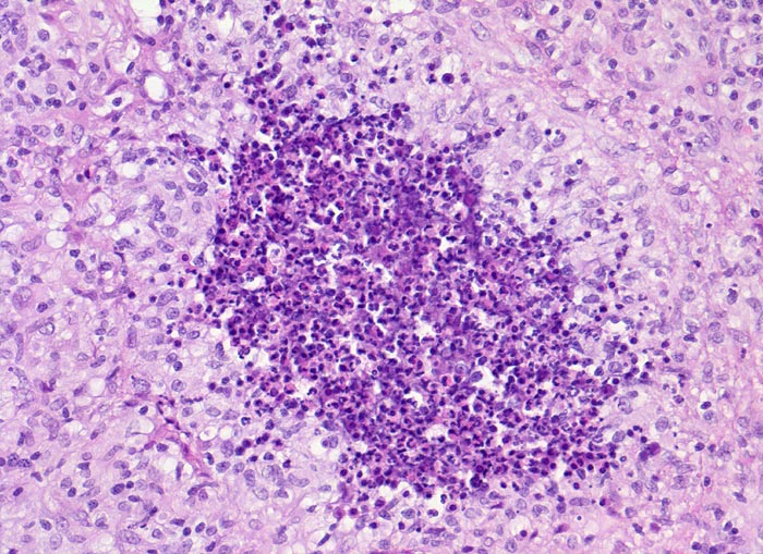
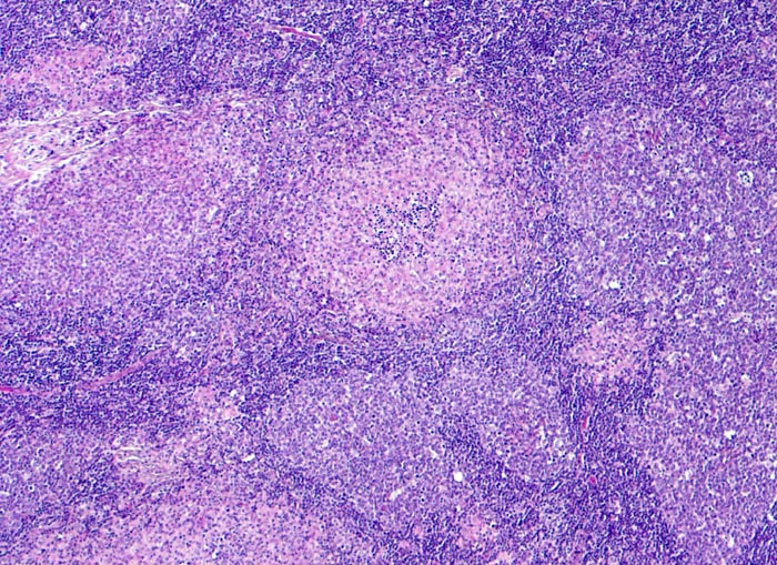
Morphologische Merkmale:
  • Girlandenförmige basophile Nekrosezonen durchsetzt von neutrophilen Granulozyten (abszedierende Entzündung).
  • Demarkierung der Abszesse durch palisadenförmig angeordnete epitheloide Histiozyten (heller Randwall um die Abszesse).
  • Vereinzelt mehrkernige Riesenzellen im histiozytären Randwall.
  • Vernarbte verdickte Lymphknotenkapsel.
Das sollte der Kliniker dem Pathologen mitteilen:
  • Erregernachweis.
Makroskopie
Befund
Pathologischer Befund
Normalbefund
Literatur
Datum
Ersteintrag: 17.11.2018
Update: 17.11.2018