Wichtiger Sicherheitshinweis:
Pathorama wurde zwischen dem
26. und 27. Dezember 2025
angegriffen. Falls Sie die Website in diesem Zeitraum besucht haben, lesen Sie bitte die wichtigen Informationen hier:
Zur Information
Pathopic
HiPaKu
ZyPaKu
Projektinfos
PathoPic - Projekt- und Copyright-Info
About
Pathopic
HiPaKu
ZyPaKu
PathoPic – image database
/
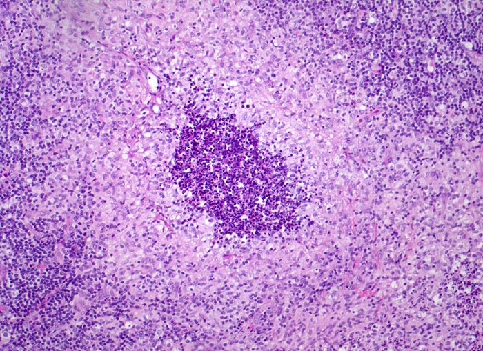
PathoPic ID 3923 - retikulozytär-abszedierende Lymphadenitis bei Katzenkratzkrankheit
de
Diagnose
retikulozytär-abszedierende Lymphadenitis bei Katzenkratzkrankheit
Diagnose Gruppe
Entzündung infektiös
Topographie
Lymphknoten, Axilla
Topographie Gruppe
Lymphatische Gewebe, KM, Milz
Beschreibung
Granulom mit zentraler Nekrosezone mit massenhaft neutrophilen
Granulozyten gesäumt von
Histiozyten (Retikulumzellen).
Zusatzbefund
Nachweis von kleinen pleomorphen Bakterien
Klinik
Druckschmerzhafte Lymphknotenvergrösserung in der rechten Axilla 2 Wochen nachdem der Patient von seiner Katze an der rechten Hand gekratzt wurde.
Kommentar
Keine käsige Nekrose wie bei Tbc.
Bilder Typ
Histologie
Vergrösserung
200
Alter
8
Geschlecht
männlich
Datum
Ersteintrag: 28.09.2002
CPS
·
©
2025 Institut für Pathologie Basel
/
Dr. med. Katharina Glatz-Krieger
.
·
v2.2