Wichtiger Sicherheitshinweis: Pathorama wurde zwischen dem 26. und 27. Dezember 2025 angegriffen. Falls Sie die Website in diesem Zeitraum besucht haben, lesen Sie bitte die wichtigen Informationen hier:
Zur Information

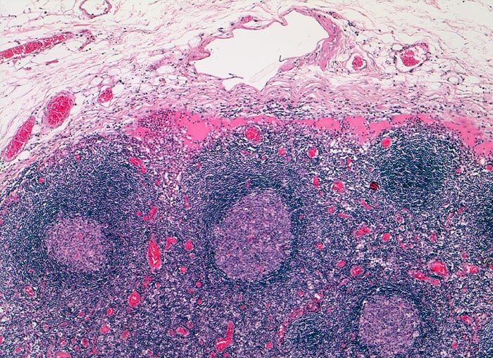
PathoPic – image database / PathoPic ID 3917 - Lymphknoten Normalbefund

de
Diagnose
Lymphknoten Normalbefund
Diagnose Gruppe
Normalbefund
Topographie
Lymphknoten, abdominal
Topographie Gruppe
Lymphatische Gewebe, KM, Milz
Beschreibung
Lymphknotenkortex mit mehreren Sekundärfollikeln mit hellem Keimzentrum umgeben von einer leicht asymmetrischen dunklen Mantelzone und einer schlecht abgrenzbaren helleren Marginalzone. Angrenzend an die zarte bindegewebige Kapsel ein afferentes Lymphgefäss mit erkennbaren Klappen und der Marginalsinus.
Klinik
Perikolischer tumorfreier Lymphknoten aus dem Abflussgebiet eines wenig fortgeschrittenen Kolonkarzinoms.
Bilder Typ
Histologie
Vergrösserung
50
Alter
54
Geschlecht
unbekannt
Datum
Ersteintrag: 13.01.2002