Wichtiger Sicherheitshinweis: Pathorama wurde zwischen dem 26. und 27. Dezember 2025 angegriffen. Falls Sie die Website in diesem Zeitraum besucht haben, lesen Sie bitte die wichtigen Informationen hier:
Zur Information

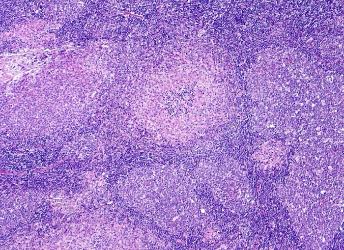
PathoPic – image database / PathoPic ID 3925 - reaktive lymphatische Hyperplasie bei Katzenkratzkrankheit

de
Diagnose
reaktive lymphatische Hyperplasie bei Katzenkratzkrankheit
Diagnose Gruppe
Entzündung infektiös
Topographie
Lymphknoten, Axilla
Topographie Gruppe
Lymphatische Gewebe, KM, Milz
Beschreibung
Eine charakteristische retikulozytär abszedierte Läsion ist in der Bildmitte erkennbar. Das umgebende Lymphknotenparenchym zeigt eine unspezifische reaktive Hyperplasie mit Ausbildung von grossen Sekundärfollikeln mit Keimzentren. Auch das interfollikuläre Parenchym ist hyperplastisch.
Zusatzbefund
Nachweis von kleinen pleomorphen Bakterien in der Versilberung (Warthin Starry Färbung)
Klinik
Druckschmerzhafte Lymphknotenvergrösserung in der rechten Axilla 2 Wochen nachdem der Patient von seiner Katze an der rechten Hand gekratzt wurde.
Bilder Typ
Histologie
Vergrösserung
50
Alter
8
Geschlecht
männlich
Datum
Ersteintrag: 09.05.2002