Wichtiger Sicherheitshinweis: Pathorama wurde zwischen dem 26. und 27. Dezember 2025 angegriffen. Falls Sie die Website in diesem Zeitraum besucht haben, lesen Sie bitte die wichtigen Informationen hier:
Zur Information

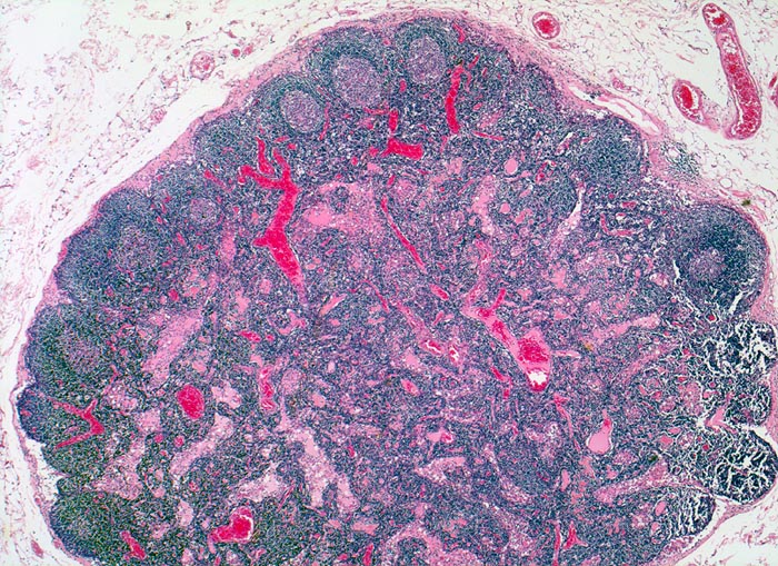
PathoPic – image database / PathoPic ID 3916 - Lymphknoten Normalbefund

de
Diagnose
Lymphknoten Normalbefund
Diagnose Gruppe
Normalbefund
Topographie
Lymphknoten, abdominal
Topographie Gruppe
Lymphatische Gewebe, KM, Milz
Beschreibung
Zarte Lymphknotenkapsel.
Normale Lymphknotenarchitektur mit Primär- und Sekundärfollikeln (mit Keimzentrum) in der Rinde. Im Zentrum des Lymphknotens das Mark mit zahlreichen Lymph- und Blutgefässen.
Lymphgefässe: Randsinus=Marginalsinus, Intermediärsinus, Marksinus.
Klinik
Perikolischer tumorfreier Lymphknoten aus dem Abflussgebiet eines wenig fortgeschrittenen Kolonkarzinoms.
Bilder Typ
Histologie
Vergrösserung
25
Alter
54
Geschlecht
unbekannt
Datum
Ersteintrag: 31.08.2002