Wichtiger Sicherheitshinweis: Pathorama wurde zwischen dem 26. und 27. Dezember 2025 angegriffen. Falls Sie die Website in diesem Zeitraum besucht haben, lesen Sie bitte die wichtigen Informationen hier:
Zur Information

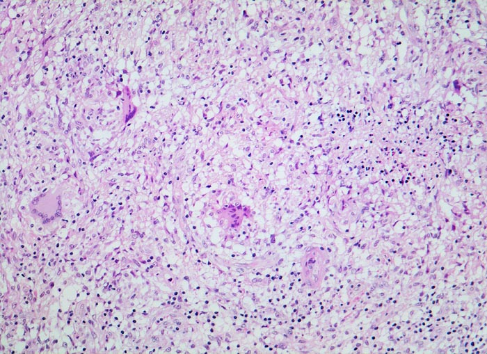
PathoPic – image database / PathoPic ID 3939 - retikulozytär-abszedierende Lymphadenitis bei Katzenkratzkrankheit

de
Diagnose
retikulozytär-abszedierende Lymphadenitis bei Katzenkratzkrankheit
Diagnose Gruppe
Entzündung infektiös
Topographie
Lymphknoten, Axilla
Topographie Gruppe
Lymphatische Gewebe, KM, Milz
Beschreibung
Ausschnitt aus der verbreiterten Lymphknotenkapsel mit zahlreichen konfluierten epitheloidzelligen Granulomen mit Riesenzellen. Auf diesem Bild ist lediglich eine kleine umschriebene von Granulozyten durchsetzte Nekrose sichtbar. Die Riesenzellen sind teils vom Fremdkörpertyp mit unregelmässig angeordneten Kernen, teils vom Langhans Typ mit hufeisenförmig in der Zellperipherie aufgereihten Kernen.
Klinik
Druckschmerzhafte Lymphknotenvergrösserung in der rechten Axilla 2 Wochen nachdem der Patient von seiner Katze an der rechten Hand gekratzt wurde.
Bilder Typ
Histologie
Vergrösserung
160
Alter
8
Geschlecht
männlich
Datum
Ersteintrag: 28.09.2002