Wichtiger Sicherheitshinweis: Pathorama wurde zwischen dem 26. und 27. Dezember 2025 angegriffen. Falls Sie die Website in diesem Zeitraum besucht haben, lesen Sie bitte die wichtigen Informationen hier:
Zur Information

AP/ Leber bei mechanischem extrahepatischem Verschluss

Diagnose
Leber bei mechanischem extrahepatischem Verschluss
Diagnose Gruppe
organspezifische Erkrankung
Differenzialdiagnose
Topographie Gruppe
Leber, Gallenwege, Pankreas
Topographie
Leber
Einleitung
Aetiologie:
Ein extrahepatischer Verschlussikterus liegt vor, wenn die grossen Gallenwege ausserhalb der Leber oder im Leberhilus obstruiert sind. Die Cholestase ist nicht eine Erkrankung, sondern das Symptom einer Erkrankung. Eine Cholestase stellt nie einen Normalbefund dar und sollte die Suche nach einer Ursache auslösen. Der Verschluss wird am häufigsten verursacht durch eine Choledocholithiasis. Weitere Ursachen sind maligne Tumoren, welche die Gallenwege infiltrieren, die angeborene Atresie der extrahepatischen Gallenwege, gutartige narbige Strikturen nach intraoperativer Verletzung der Gallenwege oder bei chronischer sklerosierender Pankreatitis. Selten liegt eine Kompression von aussen durch eine Choledochozele, tumorös vergrösserte hiläre Lymphknoten oder eine pankreatische Pseudozyste vor. Eine primär sklerosierende Cholangitis kann extrahepatische oder intrahepatische Gangstrikturen hervorrufen. Schliesslich können Parasiten im Choledochus ursächlich beteiligt sein (Chlonorchis sinensis, Ascaris, Strongyloides, Fascioliasis).

Morphologie:
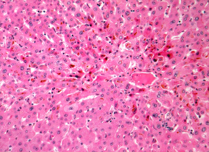
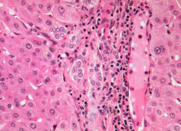
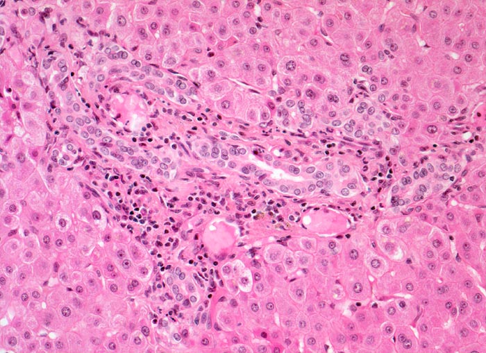
Die Leber ist vergrössert und grün gefärbt. Die intrahepatischen Gallenwege sind dilatiert. Zunächst enthalten sie dunkle Galle, später eine farblose Flüssigkeit. Histologisch findet sich in den ersten Wochen findet eine Bilirubinostase mit intrazellulären Galletropfen und intrakanalikulären Gallethromben in den perivenulären Hepatozyten (Zone 3). In diesem frühen Stadium ist die Ursache des Gallestaus morphologisch nicht ableitbar. Die Portalfelder sind ödematös aufgelockert, abgerundet und enthalten ein gemischtes Entzündungsinfiltrat aus netrophilen Granulozyten, Lymphozyten und Plasmazellen sowie proliferierte Ductuli. Bei längerer Verschlussdauer breitet sich die Bilirubinostase bis in die Zone 1 aus. Die Leberzellen bilden tubuläre Strukturen (Rosetten).
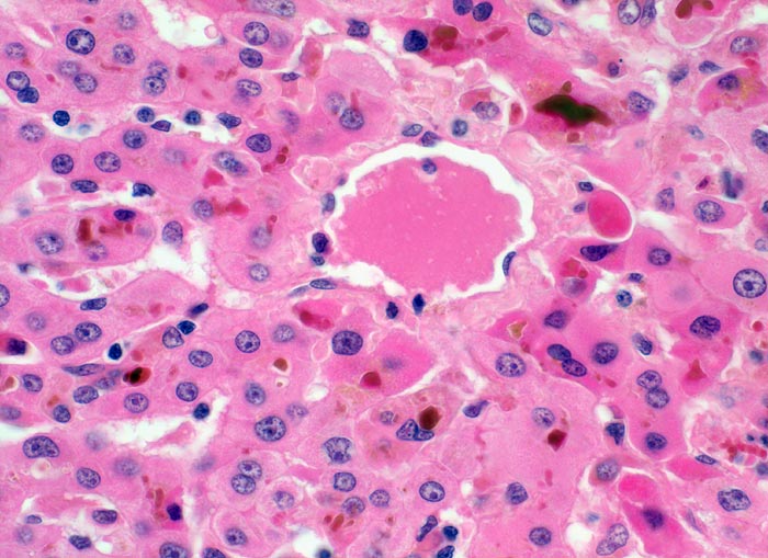
Im Verlauf von Wochen bis Monaten kommt es durch Detergentienwirkung von Gallesäuren in den Hepatozyten der Zone 1 zur Cholatstase: Einzelne oder Gruppen vergrösserter periportaler Hepatozyten zeigen eine fein retikuläre Degeneration des Zytoplasma (=Netzdegeneration), welche im Verlauf in eine lytische Zellnekrose übergeht (=Netznekrose). Nach Bilirubineinstrom in das Nekroseareal bezeichnet man diese als Galleinfarkt. Grosse Galleinfarkte sind diagnostisch für eine extrahepatische Cholestase. Ebenfalls diagnostisch für einen mechanischen Verschluss ist die Ausweitung und Ruptur grösserer interlobulärer Gallengänge mit Ausbildung von Galleseen (> 0886) (Galleextravasat). Die freigewordene Galle wird von Makrophagen abgebaut. Bei einer langdauernden Cholestase können in periportalen Hepatozyten cholestatische Mallory-Denk Körperchen abgelagert werden (bei aethylischer Leberzirrhose perivenulär!). In der Orceinfärbung finden sich granuläre periportale Ablagerungen von Kupfer und kupferbindendem Protein.

Verlauf:
Bei weniger als 10% der Patienten entwickelt sich innerhalb eines Zeitraumes von Monaten bis mehreren Jahren über eine (reversible) biliäre Fibrose (> 562) mit portoportalen Fibrosebrücken eine sekundäre biliäre Zirrhose (> 4320).
Klinik
Symptomatik:
Eine Hyperbilirubinämie ist am frühesten an einer Gelbverfärbung der Skleren erkennbar (Sklerenikterus). Erst bei schwerer Cholestase verfärben sich auch Haut- und Schleimhäute gelbgrün. Der Urin ist dunkelbraun verfärbt, während der Stuhl sehr hell ist. Die Patienten klagen oft über quälenden, generalisierten Juckreiz, Müdigkeit und Gewichtsverlust. Durch die fehlende Gallesekretion in den Dünndarm kommt es zu einem Mangel an fettlöslichen Vitaminen. Zusätzlich muss nach Symptomen der zugrundeliegenden Erkrankung gefahndet werden und nach Zeichen einer Komplikation. Die Charcot Trias: Fieber >38 °C, manchmal mit Schüttelfrost (65%), Ikterus (ca. 70%) und Schmerzen am rechten Rippenbogen deuten auf eine komplizierende eitrige Cholangitis (> 3619) (> 888).

Diagnostik:
Neben einer Erhöhung des Bilirubins findet sich bei der obstruktiven Cholestase praktisch immer eine Erhöhung der alkalischen Phosphatase und der Gamma-Glutamyl Transferase. Die Transaminasen sind in der Regel nur gering erhöht. Verschiedene apparative Verfahren finden für die weitere Abklärung der Ursache der Obstruktion Anwendung (Sonographie, CT, ERC und ERCP, perkutanes transhepatisches Cholangiogramm). Wenn nach einer Ultraschalluntersuchung eine intrahepatische Cholestase wahrscheinlich erscheint, kann zur weiteren Klärung eine Leberbiopsie durchgeführt werden. Auf diese Weise kann unter Umständen eine invasivere Untersuchungsmethode vermieden werden.

Therapie:
Die Therapie ist krankheitsspezifisch und zielt auf die Behebung der Ursache der Cholestase.
Morphologie
Morphologische Merkmale:
  • Regelrechte Läppchenarchitektur.
  • Intrakanalikuläre Gallethromben bevorzugt in Zone 3.
  • Galletröpfchen in den Hepatozyten bevorzugt in Zone 3.
  • Ductulusproliferation am Rand der Portalfelder.
  • Geringes gemischtes portales Entzündungsinfiltrat mit Beteiligung neutrophiler Granulozyten.

      Zusätzliche mögliche Befunde bei extrahepatischem Verschlussikterus aber nicht sichtbar im virtuellen Präparat:
    • Abgerundete ödematöse Portalfelder.
    • Cholatstase: Netzdegeneration von Hepatozyten und Galleinfarkte in Zone 1.
    • Rosettenbildung von Hepatozyten.
    • Galleseen.
    • Cholestatische Mallory Körperchen periportal.
    • Periportale Ablagerungen von Kupfer und kupferbindendem Protein (nur in der Orceinfärbung sichtbar).
    • Biliäre Fibrose
    Das sollte der Kliniker dem Pathologen mitteilen:
    • Obstruktion der extrahepatischen Gallenwege (Choledocholithiasis, Striktur, Tumor).
    • Leberwerte, insbesondere Cholestaseparameter.
    • Resultate von Sonographie, CT, ERCP.
    • Medikamenteneinnahme.
    • Symptome einer Cholangitis.
Makroskopie
Befund
Pathologischer Befund
Normalbefund
Datum
Ersteintrag: 04.11.2018
Update: 04.11.2018