Wichtiger Sicherheitshinweis: Pathorama wurde zwischen dem 26. und 27. Dezember 2025 angegriffen. Falls Sie die Website in diesem Zeitraum besucht haben, lesen Sie bitte die wichtigen Informationen hier:
Zur Information

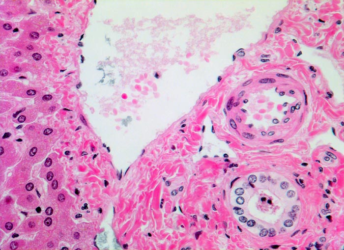
PathoPic – image database / PathoPic ID 3123 - Normales Portalfeld

de
Diagnose
Normales Portalfeld
Diagnose Gruppe
Normalbefund
Topographie
Leber
Topographie Gruppe
Leber, Gallenwege, Pankreas
Beschreibung
Anschnitt eines Portalfeldes mit Portalvenenast, Arterienast und Gallengang. Der Gallengang hat etwa dasselbe Kaliber wie die Arterie. Portalfeld ohne nennenswertes Entzündungsinfiltrat und ohne Fibrose. Links im Bild wenig unauffälliges Leberparenchym.
Bilder Typ
Histologie
Vergrösserung
200
Geschlecht
weiblich
Datum
Ersteintrag: 21.03.2002