Wichtiger Sicherheitshinweis: Pathorama wurde zwischen dem 26. und 27. Dezember 2025 angegriffen. Falls Sie die Website in diesem Zeitraum besucht haben, lesen Sie bitte die wichtigen Informationen hier:
Zur Information

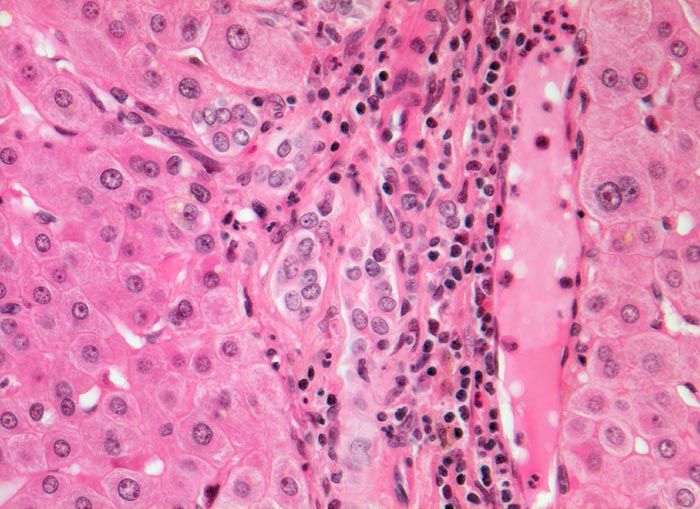
PathoPic – image database / PathoPic ID 4496 - Leber bei mechanischem extrahepatischem Verschlussikterus

de
Diagnose
Leber bei mechanischem extrahepatischem Verschlussikterus
Diagnose Gruppe
organspezifische Erkrankung
Topographie
Leber
Topographie Gruppe
Leber, Gallenwege, Pankreas
Beschreibung
In der Zone 1 rund um das Portalfeld sind keine Galleablagerungen erkennbar. Das Portalfeld zeigt ein gemischtes Entzündungsinfiltrat. Am Rand des Portalfeldes proliferierte Ductuli umgeben von neutrophilen Granulozyten.
Klinik
Patient mit Sklerenikterus seit 3 Wochen. Bekannte Cholezystolithiasis mit rechtsseitigen Oberbauchbeschwerden.
Kommentar
Bei kurzdauerndem extrahepatischem mechanischem Verschluss finden sich Galleablagerungen zunächst nur in der Zone 3. Das Portalfeld zeigt noch kein Ödem und keine Fibrose.
Bilder Typ
Histologie
Vergrösserung
320
Alter
75
Geschlecht
männlich
Datum
Ersteintrag: 06.10.2002