Wichtiger Sicherheitshinweis: Pathorama wurde zwischen dem 26. und 27. Dezember 2025 angegriffen. Falls Sie die Website in diesem Zeitraum besucht haben, lesen Sie bitte die wichtigen Informationen hier:
Zur Information

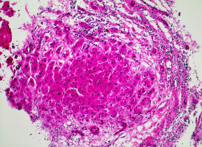
PathoPic – image database / PathoPic ID 4320 - biliäre Zirrhose

de
Diagnose
biliäre Zirrhose
Diagnose Gruppe
organspezifische Erkrankung
Topographie
Leber
Topographie Gruppe
Leber, Gallenwege, Pankreas
Beschreibung
Vollständiger zirrhotischer Umbau. Ein Parenchymknoten ist umgeben von lockerem ödematösem Bindegewebe mit randlichen Ductulusproliferationen und gemischtem Entzündungsinfiltrat.
Klinik
Adipositas permagna. Unklare Cholestase.
Kommentar
Der Befund entspricht einer biliären Zirrhose. Ob es sich um eine primäre oder um eine sekundäre biliäre Zirrhose handelt, ist aufgrund fehlender klinischer Daten nicht eruierbar.
Bilder Typ
Histologie
Alter
80
Geschlecht
unbekannt
Datum
Ersteintrag: 05.04.2002