Wichtiger Sicherheitshinweis:
Pathorama wurde zwischen dem
26. und 27. Dezember 2025
angegriffen. Falls Sie die Website in diesem Zeitraum besucht haben, lesen Sie bitte die wichtigen Informationen hier:
Zur Information
Pathopic
HiPaKu
ZyPaKu
Projektinfos
PathoPic - Projekt- und Copyright-Info
About
Pathopic
HiPaKu
ZyPaKu
PathoPic – image database
/
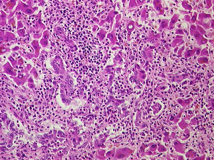
PathoPic ID 888 - Eitrige Cholangitis
de
Diagnose
Eitrige Cholangitis
Diagnose Gruppe
Entzündung infektiös
Topographie
Leber
Topographie Gruppe
Leber, Gallenwege, Pankreas
Beschreibung
Portalfeld in der unteren Bildhälfte mit dichtem granulozytärem Entzündungsinfiltrat, welches auf die Gallengänge übergreift.
Zusatzbefund
Metastasierendes Pankreaskarzinom mit Tumorbefall von Ductus choledochus und cysticus.
Bilder Typ
Histologie
Alter
77
Geschlecht
männlich
Datum
Ersteintrag: 22.11.2001
Update: 02.11.2005
CPS
·
©
2025 Institut für Pathologie Basel
/
Dr. med. Katharina Glatz-Krieger
.
·
v2.2