Wichtiger Sicherheitshinweis: Pathorama wurde zwischen dem 26. und 27. Dezember 2025 angegriffen. Falls Sie die Website in diesem Zeitraum besucht haben, lesen Sie bitte die wichtigen Informationen hier:
Zur Information

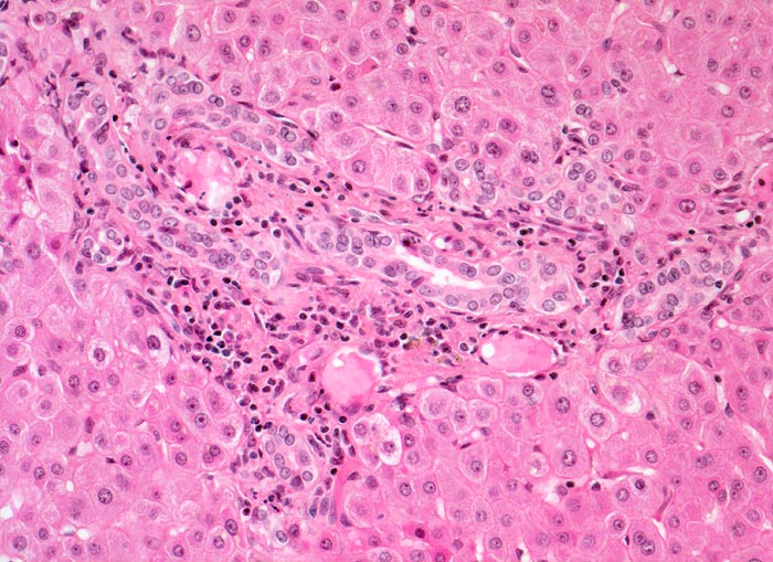
PathoPic – image database / PathoPic ID 4497 - Leber bei mechanischem extrahepatischem Verschlussikterus

de
Diagnose
Leber bei mechanischem extrahepatischem Verschlussikterus
Diagnose Gruppe
organspezifische Erkrankung
Topographie
Leber
Topographie Gruppe
Leber, Gallenwege, Pankreas
Beschreibung
In der Zone 1 rund um das Portalfeld sind keine Galleablagerungen erkennbar. Das Portalfeld in der Bildmitte zeigt ein gemischtes Entzündungsinfiltrat. Ductulusproliferation am Rand des Portalfeldes.
Klinik
Patient mit Sklerenikterus seit 3 Wochen. Bekannte Cholezystolithiasis mit rechtsseitigen Oberbauchbeschwerden.
Kommentar
Differentialdiagnostisch muss im vorliegenden Fall an die Möglichkeit einer medikamentös bedingte Cholestase gedacht werden (Bsp. Antibiotika). Bei einer medikamentös bedingten Cholestase sind die Ductulusproliferationen aber meist deutlich weniger ausgeprägt.
Bilder Typ
Histologie
Vergrösserung
200
Alter
75
Geschlecht
männlich
Datum
Ersteintrag: 06.10.2002