Wichtiger Sicherheitshinweis: Pathorama wurde zwischen dem 26. und 27. Dezember 2025 angegriffen. Falls Sie die Website in diesem Zeitraum besucht haben, lesen Sie bitte die wichtigen Informationen hier:
Zur Information

AP/ Chronisch-sklerosierende Pankreatitis

Diagnose
Chronisch-sklerosierende Pankreatitis
Diagnose Gruppe
Entzündung / Reparatur
Topographie Gruppe
Leber, Gallenwege, Pankreas
Topographie
Pankreas
Einleitung
Aetiologie:
Bei uns werden die meisten Fälle (60%) chronischer Pankreatitis durch schwere rezidivierende akute Pankreatitisschübe bei chronischem Alkoholabusus verursacht. Ursachen einer nicht alkoholischen chronischen Pankreatitis mit Fibrose:
    Hereditär
  • Idiopathisch (30%)
  • Obstruktive chronische Pankreatitis (Tumor, Choledocholithiasis, narbige Strikturen)
  • Periampulläre Zyste der Duodenalwand, Pankreas divisum
  • Posttraumatische Narben
  • Metabolisch (Hyperkalzämie, Hyperlipidämie)
  • Autoimmun (ev. Assoziiert mit Sjögren Syndrom oder primär sklerosierender Cholangitis)
  • Tropisch (Malnutrition)
Eine Fibrose des Pankreasparenchyms kann unabhängig von einer chronischen Pankreatitis vorkommen bei älteren Patienten (autoptischer Zufallsbefund), bei zystischer Fibrose (Gangobstruktion durch viskösen Schleim) oder bei Hämochromatose.

Morphologie:
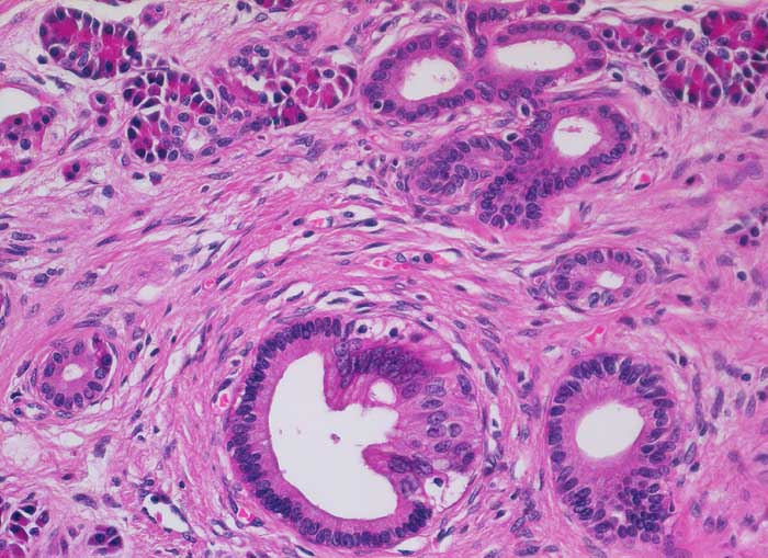
Je nach Ursache der chronischen Pankreatitis unterscheidet sich das Muster der Fibrose. Die Nekrosen des interlobulären Gewebes und der interlobulären Gänge bei ethylischen Pankreatitisschüben führen primär zu einer interlobulären Fibrose und interlobulären Gangstrikturen. In den betroffenen interlobulären Gängen führt der Sekretstau zur Konkrementbildung (verkalkte Proteinpräzipitate). Wie bei einer chronisch obstruktiven Pankreatitis kommt es in den unvollständig drainierten Läppchen zu einer Atrophie der Azini verbunden mit intralobulärer Fibrose. Letztere Areale enthalten schliesslich nur noch Reste unregelmässig verteilter Gänge, Inseln, Nerven und Gefässe. In vielen Fällen lassen sich extrapankreatische Pseudozysten gefüllt mit nekrotisch-hämorrhagischem Detritus in der Nachbarschaft der fibrosierten Bezirke nachweisen. Ein Tumor (> 2066), eine Narbe oder einen Stein können als Folge einer Obstruktion des Pankreasganges im Pankreaskopf eine diffuse Atrophie und Fibrose des Pankreas nach sich ziehen. Diese Form wird als chronische obstruktive Pankreatitis bezeichnet und ist gekennzeichnet durch eine deutliche poststenotische Dilatation des betroffenen Pankreasganges ohne Konkrementbildung und eine diffuse Fibrose des an den obstruierten Gang angrenzenden Parenchyms. Bei einer Schädigung des Gangepithels und der Gangwände wie bei hereditärer oder Autoimmunpankreatitis entwickelt sich primär eine periduktale Fibrose. Im Gegensatz zum duktalen Adenokarzinom ist das erhaltene Parenchym bei der chronischen Pankreatitis lobulär angeordnet. Drüsenepithelien zeigen keine Atypien. Karzinomverdächtig sind irregulär infiltrierende atypische Drüsen, atypische Drüsen in unmittelbarer Nachbarschaft von grösseren Gefässen ohne dazwischenliegende Azini, Perineuralscheideninvasion, rupturierte oder inkomplette Drüsen, und Drüsen mit luminalem nekrotischem Detritus.

Anmerkung:
Bei der intraoperativen Schnellschnittuntersuchung kann der Nachweis von Metastasen in peripankreatischen Lymphknoten den entscheidenden differentialdiagnostischen Hinweis liefern.
Klinik
Diagnostik:
Strukturelle Veränderungen können meist erst in fortgeschritteneneren Fällen mit bildgebenden Verfahren festgestellt werden (Abdomen leer, CT, ERCP, Magnetresonanz-Cholangiopankreatographie, Endosonographie). Maldigestion und Malabsorption treten erst nach Zerstörung von 90% des exokrinen Parenchyms auf und zeigen eine bereits fortgeschrittene Erkrankung an.

Symptome:
Die chronische Pankreatitis ist gekennzeichnet durch Schmerzen, exokrine Pankreasinsuffizienz und in fortgeschrittenen Fällen Diabetes mellitus. Die chronische obstruktive Pankreatitis äussert sich meist nur als Pankreasinsuffizienz.

Therapie:
Konservative Therapiemassnahmen: Sistieren des Alkohol- und Nikotinabusus, Schmerztherapie, Substitution von Enzymen, Vitaminen und Insulin bei Pankreasinsuffizienz.
Ein endoskopischer, radiologischer oder chirurgischer Eingriff ist indiziert bei anatomischen Komplikationen, die durch eine mechanische Intervention korrigiert werden können: Pseudozysten, Abszesse, Fistelbildung, Obstruktion des intrapankreatischen Anteils des Gallenganges, Papillenstenose, Pankreasgangstrikturen, Lithiasis.
Normalbefund
Morphologie
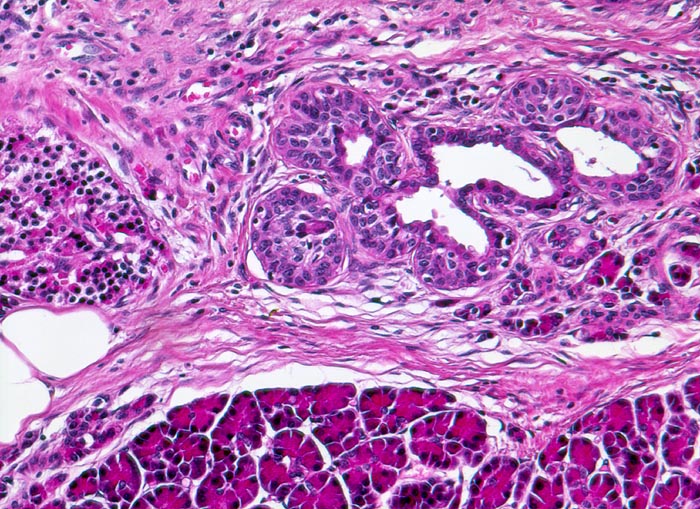
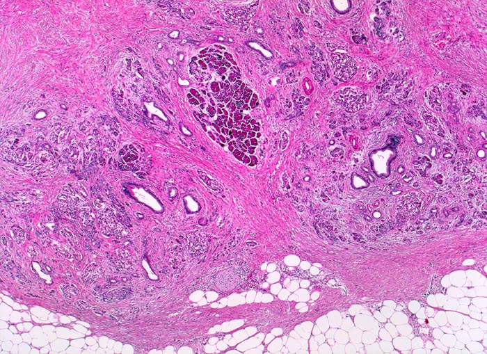
Morphologische Merkmale:
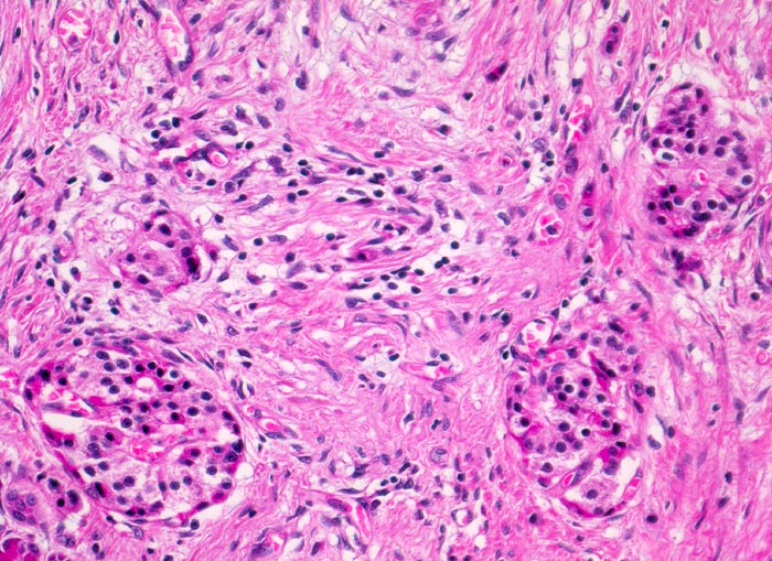
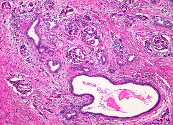
  • Erhaltene Läppchenarchitektur.
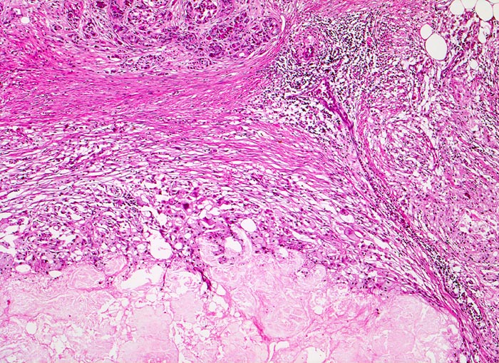
  • Breite Bänder von sklerosiertem zellarmem Bindegewebe verlaufen zwischen den Läppchen.
  • Atrophie des exokrinen Pankreas.
  • Erhaltene Inseln und Gangstrukturen.
  • Spärliches chronisches Entzündungsinfiltrat.
  • Rechts oben ist eine partiell vom Rand her durch Granulationsgewebe organisierte lytische Fettgewebsnekrose erkennbar. Diese ist Folge eines akuten pankreatitischen Schubs.
Das sollte der Kliniker dem Pathologen mitteilen:
  • Radiologische Befunde.
  • Intraoperativer Befund.
  • Karzinomverdacht.
  • Ätiologie der chronischen Pankreatitis.
Praxis-Tipp:
  • Da klinisch und radiologisch eine chronische Pankreatitis nicht immer sicher von einem Karzinom unterscheidbar ist, empfiehlt sich im Zweifelsfall eine Markierung der chirurgischen Resektionsränder.
Makroskopie
Befund
Pathologischer Befund
Normalbefund
Datum
Ersteintrag: 17.11.2018
Update: 17.11.2018