Wichtiger Sicherheitshinweis: Pathorama wurde zwischen dem 26. und 27. Dezember 2025 angegriffen. Falls Sie die Website in diesem Zeitraum besucht haben, lesen Sie bitte die wichtigen Informationen hier:
Zur Information

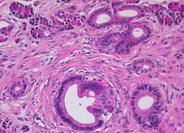
PathoPic – image database / PathoPic ID 5883 - Chronisch-sklerosierende Pankreatitis

de
Diagnose
Chronisch-sklerosierende Pankreatitis
Diagnose Gruppe
Therapiefolgen
Topographie
Pankreas
Topographie Gruppe
Leber, Gallenwege, Pankreas
Beschreibung
Die Azini sind in ihrer Anzahl vermindert und partiell ersetzt durch dichtes Bindegewebe. Die Gangstrukturen sind im Gegensatz zu Karzinomdrüsen schön ausgeformt und die auskleidenden Epithelzellen weisen keinerlei Atypien auf.
Klinik
Alkoholiker mit rezidivierten akuten Pankreatitisschüben. Chronische Diarrhoe.
Bilder Typ
Histologie
Vergrösserung
200
Alter
49
Geschlecht
männlich
Datum
Ersteintrag: 01.01.2003
Update: 17.02.2003