Wichtiger Sicherheitshinweis: Pathorama wurde zwischen dem 26. und 27. Dezember 2025 angegriffen. Falls Sie die Website in diesem Zeitraum besucht haben, lesen Sie bitte die wichtigen Informationen hier:
Zur Information

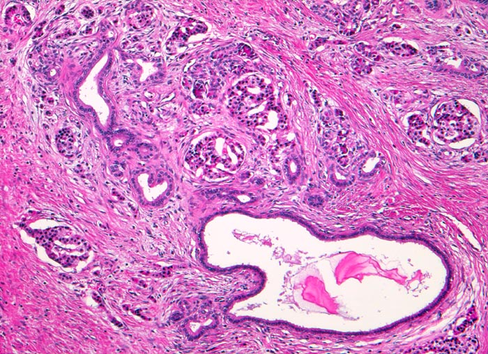
PathoPic – image database / PathoPic ID 4670 - Chronisch-sklerosierende Pankreatitis

de
Diagnose
Chronisch-sklerosierende Pankreatitis
Diagnose Gruppe
Therapiefolgen
Topographie
Pankreas
Topographie Gruppe
Leber, Gallenwege, Pankreas
Beschreibung
Die Azini dieses Lobulus sind weitgehend verschwunden. Neben einigen wenigen atrophen Azini sind zahlreiche Inseln des endokrinen Pankreas zurückgeblieben. Stark dilatierter intralobulärer Gang mit retiniertem Sekret. Daneben proliferierte kleinere Gänge. Minimales Entzündungsinfiltrat.
Klinik
Alkoholiker mit rezidivierten akuten Pankreatitisschüben. Chronische Diarrhoe.
Bilder Typ
Histologie
Vergrösserung
100
Alter
49
Geschlecht
männlich
Datum
Ersteintrag: 06.05.2002