Wichtiger Sicherheitshinweis: Pathorama wurde zwischen dem 26. und 27. Dezember 2025 angegriffen. Falls Sie die Website in diesem Zeitraum besucht haben, lesen Sie bitte die wichtigen Informationen hier:
Zur Information

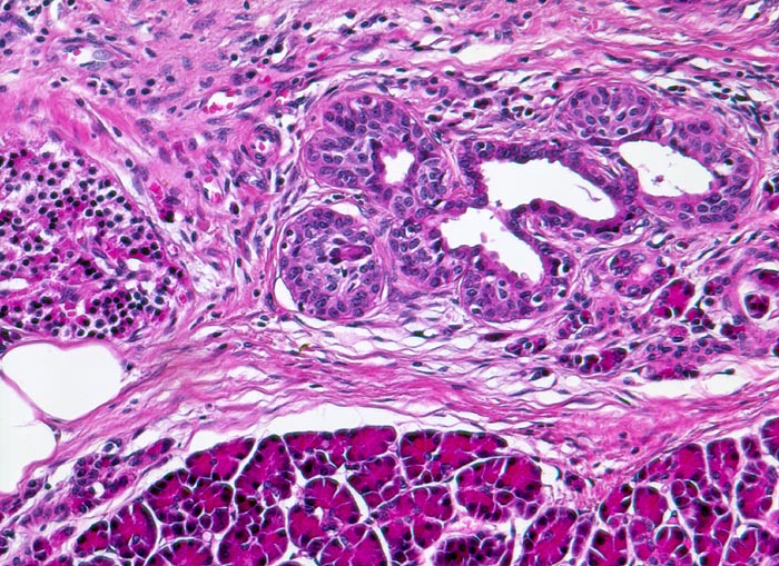
PathoPic – image database / PathoPic ID 4769 - Chronisch-sklerosierende Pankreatitis

de
Diagnose
Chronisch-sklerosierende Pankreatitis
Diagnose Gruppe
Therapiefolgen
Topographie
Pankreas
Topographie Gruppe
Leber, Gallenwege, Pankreas
Beschreibung
Links im Bild eine Pankreasinsel. Daneben Inselzellen in Assoziation mit einem Gang. Ausbildung eines duktulo-insulären Komplexes = Nesidioblastose.
Klinik
Alkoholiker mit rezidivierten akuten Pankreatitisschüben. Chronische Diarrhoe.
Kommentar
Die Nesidioblastose ist normal bei Säuglingen nachweisbar. Bei einer neonatalen Hypoglykämie sind die duktuloinsulären Komplexe deutlich vermehrt. Selten kann man die Nesidioblastose bei Erwachsenen mit hyperinsulinämischer Hypoglykämie nachweisen. Sie kann auch vorkommen beim Zollinger Ellison Syndrom, bei einer Mucoviszidose, bei endokrinen Neoplasien oder wie im vorliegenden Fall bei einer chronischen Pankreatitis.
Bilder Typ
Histologie
Vergrösserung
100
Alter
49
Geschlecht
männlich
Datum
Ersteintrag: 06.10.2002