Wichtiger Sicherheitshinweis: Pathorama wurde zwischen dem 26. und 27. Dezember 2025 angegriffen. Falls Sie die Website in diesem Zeitraum besucht haben, lesen Sie bitte die wichtigen Informationen hier:
Zur Information

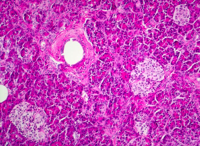
PathoPic – image database / PathoPic ID 4351 - Normales endokrines Pankreas: Langerhans Inseln

de
Diagnose
Normales endokrines Pankreas: Langerhans Inseln
Diagnose Gruppe
Normalbefund
Topographie
Pankreaskopf
Topographie Gruppe
Leber, Gallenwege, Pankreas
Beschreibung
Rundliche helle Zellinseln im Pankreasparenchym. Die Inselzellen sind kleiner und blasser als die Azinuszellen. Sie sind zu kleinen Gruppen (Inseln) innerhalb der exokrinen Azini angeordnet. Im Bildzentrum ein kleiner Ausführungsgang.
Kommentar
Die Langerhans Inseln sind am zellreichsten im Schwanzbereich und können sehr unterschiedlich gross sein. Zelltypen: 70% B-Zellen bilden Insulin und Amilin, 20% A-Zellen bilden Glukagon, 5-10% D-Zellen bilden Somatostatin, 1-2% PP-Zellen bilden pankreatisches Polypeptid. Die übrigen Zellen bilden VIP oder gemischte Sekrete (Enterochromaffine Zellen).
Bilder Typ
Histologie
Vergrösserung
100
Alter
81
Geschlecht
männlich
Datum
Ersteintrag: 05.04.2002