Wichtiger Sicherheitshinweis: Pathorama wurde zwischen dem 26. und 27. Dezember 2025 angegriffen. Falls Sie die Website in diesem Zeitraum besucht haben, lesen Sie bitte die wichtigen Informationen hier:
Zur Information

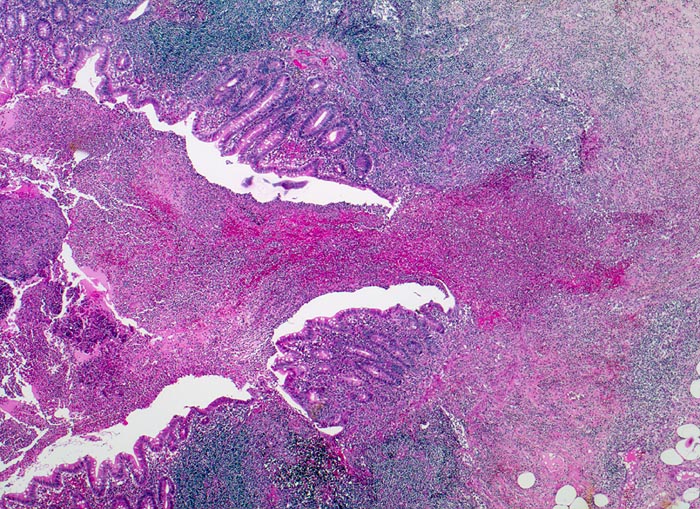
ETHZ allg/ Akute eitrige ulzerophlegmonöse Appendizitis

Diagnose
Akute eitrige ulzerophlegmonöse Appendizitis
Diagnose Gruppe
Entzündung / Reparatur
Differenzialdiagnose
Topographie Gruppe
Darm, Anus
Topographie
Appendix vermiformis
Einleitung
Aetiologie:
 Die Entzündung der Appendix ist meist Folge einer Obstruktion beispielsweise durch einen Kotstein, hyperplastische Lymphfollikel oder einen Tumor. Dadurch kommt es wegen fortgesetzter Sekretion von Schleim ins Appendixlumen zu einer intraluminalen Druckerhöhung mit Störung des venösen Abflusses. Die ischämische Schädigung der Mukosa fördert die Proliferation von Bakterien. Gelegentlich können als Verursacher einer akuten Appendizitis Oxyureneier (> 287) nachgewiesen werden oder eine retikulozytär abszedierende Entzündung bei Yersiniose (> 1223). Eine neurogene Appendikopathie (> 3393) (> 3398) (> 3399) kann zu chronischen rechtsseitigen Unterbauchbeschwerden führen. 

Morphologie:
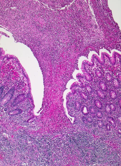
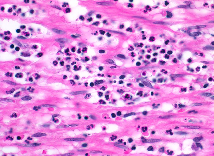
 Das histologische Kriterium für eine akute Appendizitis ist die Infiltration der Muscularis propria mit neutrophilen Granulozyten. 
Klinik
Vorkommen:
 Meist tritt die akute Appendizitis bei Adoleszenten oder jungen Erwachsenen auf, ist jedoch grundsätzlich in jedem Alter möglich. 

Symptomatik:
 Fehldiagnosen sind recht häufig, da sich die Erkrankung oftmals nicht mit klassischer Symptomatik manifestiert und die Differentialdiagnose der rechtsseitigen Unterbauchbeschwerden sehr breit ist. Mögliche Differentialdiagnosen: Gallekolik, Obstipation, Divertikulose, Endometriose, EUG, Torsion eines Adnextumors, Gastroenteritis, Adnexitis…
 Die klassische Abfolge von Appetitlosigkeit und periumbilikalen Schmerzen gefolgt von rechtsseitigen Unterbauchschmerzen und Erbrechen findet sich nur bei gerade 50% der Patienten. 

Therapie:
 Die Appendektomie ist Therapie der Wahl. 

Komplikationen:
 Mögliche Komplikationen einer Appendizitis sind Wandperforation, Pylephlebitis mit Thrombose der portalvenösen Drainage, Leberabszess oder Bakteriämie. 
Morphologie
Morphologische Merkmale: 
  • Fokale Ulzeration der Appendixschleimhaut. 
  • Diffuse Durchsetzung der Appendixwand mit neutrophilen Granulozyten (phlegmonöse Entzündung). 
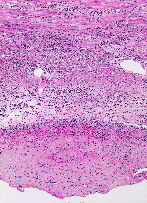
  • Fibrinauflagerungen auf der Serosa durchmischt mit neutrophilen Granulozyten (fibrinös eitrige Peritonitis). Das sollte der Kliniker dem Pathologen mitteilen: 
  • Verdacht auf Perforation oder perityphlitischen Abszess. 
Makroskopie
Befund
Pathologischer Befund
Normalbefund
Datum
Ersteintrag: 10.07.2019
Update: 04.03.2020